怀孕生子对于刚成为母亲的人而言是人生中的重大喜事。孕妇罹患脑肿瘤,对患者本人、家庭以及医生均属意外情况。妊娠期特有的生理变化不可避免会影响疾病诊断和治疗的性质与时机。一旦疾病进展,将面临以下问题:是否需要终止妊娠;如果继续妊娠,应选择何种分娩方式。
妊娠期常见脑肿瘤类型分析
妊娠期常见脑肿瘤类型包括垂体瘤、脑膜瘤、胶质瘤以及乳腺癌脑转移瘤。孕期神经外科处理面临两个主要问题:首要问题是术前评估,其次为孕妇全身麻醉的应用。麻醉管理需应对多重复杂因素交互作用带来的挑战,包括妊娠期心血管系统、呼吸系统等生理学改变。这些问题贯穿肿瘤诊断、治疗及手术全过程,具体表现为:麻醉药物相互作用、术中出血与输血管理、早产预防,以及在脑肿瘤切除术中实施紧急剖宫产的麻醉方案等。
脑膜瘤临床特点
脑膜瘤发病率存在显著性别差异,女性发病率约为男性的两倍。具体而言,女性颅内脑膜瘤发生率是男性的2倍,椎管内脑膜瘤发生率高达男性的9倍。脑膜瘤生长与性激素水平密切相关,在月经周期黄体期及妊娠期可出现肿瘤加速生长现象。尽管有研究质疑该关联,但乳腺癌女性患者中脑膜瘤发病率可能升高。大量研究证实雄激素、雌激素及孕激素受体在脑膜瘤中的作用:在初次手术及复发时获取的标本中,大部分脑膜瘤存在孕激素和雄激素受体高表达,而少数标本呈现雌激素受体低水平表达。
垂体瘤流行病学特征
垂体瘤约占原发性颅内肿瘤的15%,好发于育龄期女性。其性别分布特征主要源于泌乳素瘤在20-39岁女性中的高发性,女性患病率是男性的4倍,占全部泌乳素瘤病例的78%。
颅内转移瘤——乳腺癌
乳腺癌是北美女性最常见的恶性肿瘤,占所有癌症的27%。1992年约有18.1万新发病例,同年导致4.6万名女性死亡。约25%的转移性乳腺癌患者会出现神经系统并发症,而尸检研究显示中枢神经系统受累比例高达31-57%。
妊娠期影像学检查注意事项
妊娠期颅内压增高症状(头痛、恶心、呕吐)与早孕反应或妊娠期高血压疾病(子痫/先兆子痫)临床表现高度重叠。对出现此类症状的孕妇进行神经影像学检查十分必要,但孕早期应尽量避免。MRI因无电离辐射成为首选检查方式,尽管尚无证据表明其对胎儿有害,但因涉及强电磁场暴露,孕早期仍应谨慎使用。钆对比剂的安全性证据不足,妊娠期属禁忌范畴。
若患者出现快速神经功能恶化,则需进行CT检查。CT检查的头部辐射暴露量约为2.5-3拉德,胎儿暴露量约为每层扫描1毫拉德(可通过铅裙屏蔽子宫降低风险)。当胎儿暴露量低于10拉德时,异常率不超过活产婴儿3%的自发畸形背景发生率及妊娠期30%的自然流产率。医学必需的辐射暴露在无法避免时可被接受。碘对比剂在孕早期的使用经验有限且风险未明,应避免使用。
妊娠期脑肿瘤治疗策略
妊娠期可能需处理脑肿瘤及其并发症。脑水肿与颅内压增高需使用糖皮质激素和甘露醇。糖皮质激素已广泛用于预防新生儿呼吸窘迫综合征等产科指征,未发现对婴幼儿前三年生长、运动或发育存在不良影响。但长期大剂量使用可能引起胎儿肾上腺抑制,围产期需补充类固醇。甘露醇虽可透过胎盘并由胎儿肾脏排泄至羊水,但未见不良反应报道。
颅脑放疗的胎儿辐射暴露风险显著高于诊断性影像检查。宫内辐射暴露可能引发流产、畸形、生长迟缓、智力障碍及儿童期肿瘤等风险(孕早期风险最高)。化疗药物在孕早期具有致畸性,且能透过血脑屏障的药物更易通过胎盘。虽有研究提示孕中晚期某些化疗药风险较低,但妊娠期应避免对恶性脑肿瘤进行化疗。
脑肿瘤手术的麻醉管理难点
母体生理改变
呼吸系统:妊娠4个月时肺泡通气量增加45-70%,导致慢性呼吸性碱中毒(PaCO2 28-32 mmHg,pH≈7.44,碳酸氢根降低)。氧耗量增加但PaO2保持正常。功能性残气量(FRC)下降20%降低氧储备,肥胖、仰卧位等因素易引发低氧血症。
心血管系统:心输出量增加30-50%,全身及肺血管阻力降低。妊娠子宫压迫下腔静脉可使心输出量下降25-30%,需采取左倾体位保障子宫胎盘灌注。
血液系统:血容量孕晚期增加30-45%,呈现稀释性贫血。妊娠期高凝状态(纤维蛋白原及凝血因子增高)增加血栓风险。诱导控制性降压时需精准维持胎盘灌注压。
消化系统:孕18-20周后食管下括约肌功能失调,需采取快速序贯诱导预防反流误吸。
麻醉反应变化
吸入麻醉药最低肺泡浓度(MAC)降低30%,硫喷妥钠需求减少,血浆胆碱酯酶活性下降25%。需警惕瑞芬太尼及琥珀胆碱的使用,并监测肌松恢复。低白蛋白血症导致药物游离浓度增高可能增加毒性。抗癫痫药(卡马西平、苯妥英)可能增强麻醉药物作用。
致畸风险管控
虽无直接致畸证据,但需关注抗惊厥药(胎儿畸形率4-8%)、苯二氮卓类(唇裂风险)、锂剂(心血管异常率11.5%)等潜在风险。一氧化二氮在特定暴露期可能产生不良反应。
胎儿监护技术
通过电子胎心监护评估胎儿状况,正常胎心率110-160次/分。产前监护技术包括胎动计数、无应激试验、宫缩应激试验等。早产预防需根据指南进行糖皮质激素、B族链球菌预防及宫缩抑制剂管理。
临床案例研究
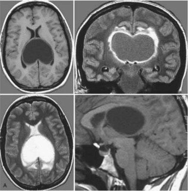
33岁孕妇Olive在孕期出现严重头痛、行走不稳及轻度记忆减退症状。检查发现双侧侧脑室存在巨大肿瘤,并合并脑积水症状。考虑到患者情况,立即进行囊液引流和肿瘤活检以降低颅内压。活检结果显示为毛细胞型星形细胞瘤,Olive症状迅速缓解,妊娠期间无需进一步治疗。

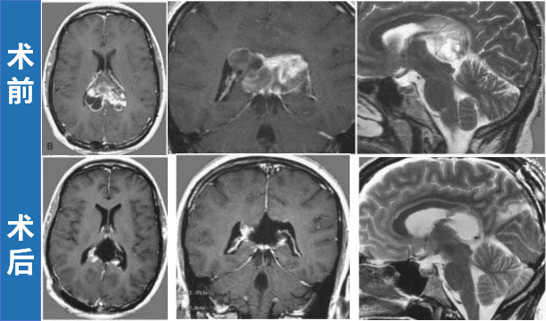
MRI影像学表现:轴位(左上、左下)、冠状位(右上)和矢状位(右下)序列显示一个大型囊性肿瘤占据双侧侧脑室后部。尽管肿瘤体积巨大,但Olive最终顺利分娩。后续由INC巴特朗菲教授实施手术,肿瘤被完全切除,同时保留双侧胼胝体结构。术后患者出现轻度记忆减退,持续数周后缓解;未出现任何神经或认知功能缺损。随访MRI显示肿瘤无复发征象。

治疗决策考量
孕期发现脑瘤时,治疗可能涉及多种疗法,包括手术、放疗和化疗,每种疗法对母亲和发育中的胎儿均存在风险。决定妊娠期间治疗时机或推迟至分娩后,选择继续妊娠或终止妊娠,以及未来计划生育和生育问题均十分复杂,需要多学科医疗团队评估对母亲和婴儿的影响。
目前关于妊娠期脑瘤治疗尚无明确指南或共识,因此应优先选择经验成熟的医疗团队,根据临床经验、技术能力以及患者价值观和需求制定个体化治疗方案,追求最佳总体效果。对于计划怀孕的女性,如有可能建议在妊娠前处理脑部肿瘤问题。

胶质瘤
垂体瘤
脑膜瘤
脑血管瘤
听神经瘤
脊索瘤

沪公网安备31010902002694号