脊索瘤属于临床罕见病变,约占颅内肿瘤比例不足1%,发病率约为...
更新时间:2026-01-04 09:23:04
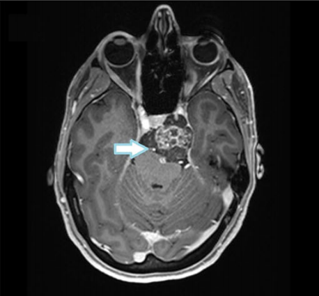
功能区脊索瘤作为一种罕见的原发性骨肿瘤,其治疗一直是神经...
更新时间:2025-12-01 15:48:28
James T. Rutka(鲁特卡)教授发表的研究《Management and outcome of cho...
更新时间:2025-11-25 10:20:49
脊索瘤虽然生长缓慢,但因其常位于颅底和脊柱这些结构复杂且...
更新时间:2025-11-17 14:26:21
NC国际神经外科医生集团旗下世界神经外科顾问团(WANG)成员、...
更新时间:2025-11-14 10:12:45
脊索瘤术后一定会复发吗?多项研究报道表明,全切除(GTR)或...
更新时间:2025-11-09 09:00:33
神经鞘瘤是一类起源于神经鞘细胞的肿瘤,通常为良性,但也可...
更新时间:2025-11-07 14:07:23
脊索瘤作为一种罕见的骨肿瘤,起源于胚胎期脊索残留组织,年...
更新时间:2025-11-07 13:54:22
内镜颅底外科(ESBS)目前已广泛应用于各类颅底病变的治疗。然...
更新时间:2025-11-05 10:07:58
对于颅底脊索瘤患者,临床指南推荐实施最大限度手术切除。肉...
更新时间:2025-10-21 10:37:14
“关于脊索瘤,其发病机制的研究和认识已取得诸多进展。过去...
更新时间:2025-09-28 10:02:11
环椎肿瘤是指发生于第一颈椎(寰椎)及其周边组织的占位性病...
更新时间:2025-09-23 14:43:17
在近四年内,该患者于多家医院接受三次肿瘤切除手术(包括两...
更新时间:2025-09-19 09:44:33
分化不良型脊索肿瘤这种罕见的高侵袭性肿瘤占脊索瘤的12.7%(国...
更新时间:2025-08-28 11:49:04
传统开颅手术因视野局限、创伤大,全切率仅15%-25%。神经内镜...
更新时间:2025-08-22 11:11:03

Cases of Chinese Patients
Academic Visits
International Treatment