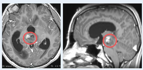
这个案例出自INC福洛里希教授发表的学术论文《Interhemispheric Tr...
更新时间:2026-05-20 09:58:40
从术前“差点放弃治疗”的绝望,到如今母女亲密无间的幸福场...
更新时间:2026-05-20 09:54:26
亲属陪诊十分常见,但如果最亲的家人跟你“同病相怜”呢?在...
更新时间:2026-05-19 17:57:10
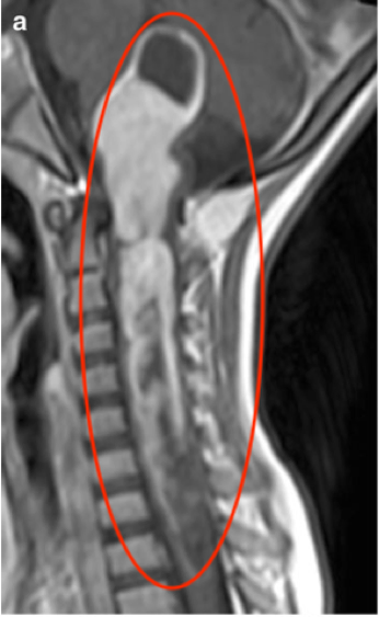
德国神外大咖巴特朗菲教授的论文——不应将“无法手术”一词...
更新时间:2026-05-17 07:21:26
INC国际脑血管搭桥手术大咖川岛明次(Akitsugu Kawashima)教授研究...
更新时间:2026-05-15 10:25:02
这个疾病的关键就是在第一次手术,如果第一次手术做不好的话...
更新时间:2026-05-15 10:05:23
有一种极为特殊的类型,叫做 “真”后交通动脉瘤。动脉瘤的瘤...
更新时间:2026-05-15 09:44:46
主刀的Rutka教授查房时说,肿瘤已确认实现全切,病理结果显示为...
更新时间:2026-05-13 17:41:18
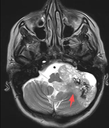
北京天坛医院联合INC巴特朗菲教授展开强强合作。术中发现,肿...
更新时间:2026-05-13 10:00:34
从那场手术至今,已将近29年。儿子如今也步入了中年,拥有了自...
更新时间:2026-05-12 18:18:08
在正规医院里,神经外科与产科会协同配合,以母亲安全为第一...
更新时间:2026-05-11 11:22:57
不能乱了方寸,要知道到底怎么样去解决,找谁去解决,也要储...
更新时间:2026-05-09 10:41:48
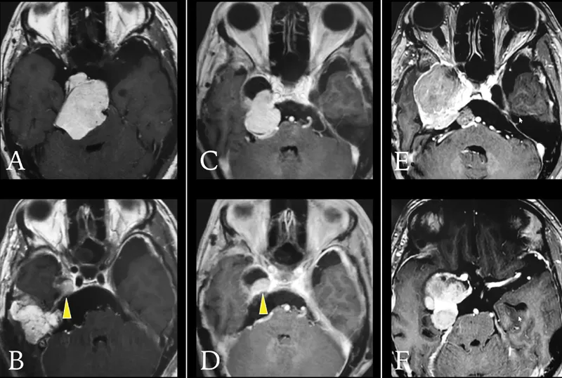
体格检查显示步态共济失调明显,左侧面部V2和V3分布区感觉明显...
更新时间:2026-05-07 09:40:58
这台手术由巴特朗菲教授主刀。虽然病灶周围紧邻面听神经、三...
更新时间:2026-05-06 11:31:17
有是头痛恶心以为感冒,然后偶然查出脑瘤的;有的以为只是感...
更新时间:2026-05-04 11:31:00

Cases of Chinese Patients
Academic Visits
International Treatment