以Volker Seifert教授为核心成员,召集了一个由69名多学科专家(包...
更新时间:2026-05-12 19:13:38
国际权威神经外科专业期刊JNS刊登了INC脑血管疾病专家巴特朗菲...
更新时间:2026-05-12 09:47:49
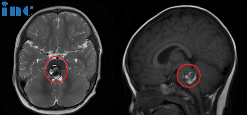
时年62岁的老王因反复头晕、走路不稳、突发中风,送到医院一查...
更新时间:2026-05-11 11:36:19
INC国际神经外科医生集团旗下世界神经外科专家团(WNEG)成员、...
更新时间:2026-05-09 10:32:25
支流像放射状一样汇聚到一个扩张的静脉通道中,把血液集中起...
更新时间:2026-05-07 17:43:28
门诊里查出海绵状血管瘤的人,问完手术和吃药后,常问的问题...
更新时间:2026-05-06 08:44:38
脑海绵状血管瘤的本质是一团结构畸形的血管,不是一团需要被...
更新时间:2026-05-06 08:43:17
对神经外科医生而言,脑动静脉畸形(AVM)的治疗决策既要避免...
更新时间:2026-05-05 11:04:27
那么未破裂的动脉瘤有什么风险吗?有什么样的因素会引起未破...
更新时间:2026-05-05 11:01:12
《Long-term survival and cure fraction estimates for paediatric central nervous s...
更新时间:2026-05-04 11:06:45
脑动静脉畸形的影像学检查可实现多项核心目标:从初步诊断、...
更新时间:2026-05-04 11:01:26
脑动静脉畸形(bAVM)就像大脑里的“不定时炸弹”,手术切除畸...
更新时间:2026-05-04 10:57:29
未破裂动脉瘤的治疗决策需要根据患者的年龄、是否有其他疾病...
更新时间:2026-05-04 10:54:31
INC国际儿童脑瘤专家、世界小儿神经系统专业杂志《Child´s Nerv...
更新时间:2026-05-04 09:22:55
脑海绵状血管瘤的遗传机制目前研究得比较清楚。它是一种常染...
更新时间:2026-04-29 09:11:01

Cases of Chinese Patients
Academic Visits
International Treatment