当前位置:
inc(INC)
> 鞍结节脑膜瘤
鞍结节脑膜瘤是属于大手术吗?
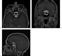
鞍结节脑膜瘤占脑膜瘤的4-10%,并且几乎普遍存在不同程度的视力...
共
1
页
1
条记录
神经外科治疗
胶质瘤
垂体瘤
脑膜瘤
脑血管瘤
听神经瘤
脊索瘤
照片/视频云集
神外历史
Neurosurgical History
学术访问
Academic Visits
国际治疗
International Treatment
INC国际
学术热线
患者热线
咨询教授