INC国际神经外科医生集团
当前位置:inc(INC) > 巴特朗菲

脑膜瘤

德国巴特朗菲教授即将来华,人

德国巴特朗菲教授即将来华,人

许多国内外神经外科学术会议都被迫延期或取消,各国之间的神...

视神经-下丘脑肿瘤治疗新理念:

视神经-下丘脑肿瘤治疗新理念:

当胶质瘤累及视神经-下丘脑,胶质瘤手术还是放化疗?视力岌岌...

视神经-下丘脑肿瘤治疗新理念:

视神经-下丘脑肿瘤治疗新理念:

当胶质瘤累及视神经-下丘脑,胶质瘤手术还是放化疗?视力岌岌...

INC(inc)巴特朗菲教授疑难胶质

INC(inc)巴特朗菲教授疑难胶质

INC(inc)巴特朗菲教授疑难胶质瘤成功手术案例,中国的发病及...

巨大脑膜瘤患者感谢INC和巴特朗

巨大脑膜瘤患者感谢INC和巴特朗

巨大脑膜瘤患者感谢INC和巴特朗菲教授,说起这位巴特朗菲范教...

【出国看病】脑膜瘤患者德国治

【出国看病】脑膜瘤患者德国治

脑膜瘤患者德国治疗案例,王阿姨一家人在多方求治国内外脑膜...

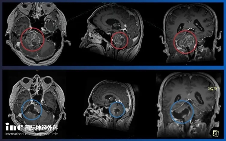
2岁儿童脑干海绵状血管瘤手术全

2岁儿童脑干海绵状血管瘤手术全

巴特朗菲教授曾在4月和6月两次来华在苏州大学附属一医院和苏...

【视频故事】复杂位置巨大脑膜

【视频故事】复杂位置巨大脑膜

故事源于一封字里行间充满了希望与感激的感谢信,写给INC之德...

5岁儿童视神经胶质瘤德国治疗经

5岁儿童视神经胶质瘤德国治疗经

5岁儿童视神经胶质瘤德国治疗经典案例,2018年7月,INC国际神经...

5岁女孩脑干延髓巨大肿瘤国内手

5岁女孩脑干延髓巨大肿瘤国内手

——还没满5周岁,今年年初被查出“脑干延髓处有巨大囊实性占...

神经外科治疗

照片/视频云集

神外历史

神外历史

Neurosurgical History

学术访问

学术访问

Academic Visits

国际治疗

国际治疗

International Treatment