日常生活中,颈部疼痛是十分普遍的现象。长时间低头使用手机、工作姿势不当、不良睡眠姿势、颈椎劳损……大多数情况下,这类疼痛经过适当休息和物理治疗后都能得到缓解。然而,存在一种特殊类型的颈部疼痛,可能预示着大脑深处潜藏着一种罕见肿瘤——颅颈交界区脊索瘤。
病例一:一位26岁男性患者,正值青春年华,却因剧烈颈部疼痛、吞咽困难和舌肌萎缩被诊断出颅颈交界区巨大脊索瘤,肿瘤直径达到10厘米,对脑干造成严重压迫。
病例二:一位74岁女性患者,颈部疼痛持续一年后确诊脊索瘤,初次手术后出现复发,肿瘤侵蚀颈椎导致病理性骨折。
病例三:一位21岁女性患者,因颈部疼痛检查发现枕骨大孔和颅颈交界区存在脊索瘤,病变扩展至硬膜内。该脊索瘤患者还伴有明显的骨质破坏和硬膜内延伸表现。
这些不同年龄段的患者,最初都认为只是"普通颈部疼痛",最终却被确诊为同一种疾病——颅颈交界区脊索瘤。颅颈交界区肿瘤位置深在且解剖结构复杂,生长在该区域的颅底肿瘤手术切除难度较大。肿瘤可能侵袭周围骨性结构,压迫或包绕脑干、椎基底动脉及其分支和多组颅神经,术后容易发生颅颈交界区不稳定,以及脑干和其他重要结构的严重损伤,导致肢体瘫痪、呼吸循环衰竭等高风险手术并发症。

点击阅读,了解更多:“颅底和颅颈交界区脊索瘤的治疗”——INC国际福教授神外大师课程内容分享
需要警惕的颈部疼痛类型包括:
进行性加重的疼痛:若颈部疼痛持续数周甚至数月,不仅未见缓解反而逐渐加重,休息或普通止痛药效果不佳,甚至夜间痛醒,需引起重视。
伴有神经症状的颈部疼痛:当颈部疼痛伴随以下任何症状时,应及时就医:
四肢麻木、刺痛或过电感
手部力量下降、持物不稳
行走时有踩棉花感
声音嘶哑、饮水呛咳、吞咽困难
舌肌萎缩或伸舌偏斜
特定动作诱发的疼痛:颈部活动或咳嗽、用力时疼痛明显加重的情况需要警惕。
对症治疗无效的疼痛:若尝试按摩、针灸、理疗等常规方法后,颈部疼痛未见明显改善甚至加重,不应掉以轻心。
多数脊索瘤患者初始症状不明显,早期常被误诊或漏诊。专家提醒,一旦出现颈枕部疼痛,特别是上述情况,应尽早就医。
脊索瘤是一种起源于胚胎残余脊索组织的罕见肿瘤,好发于颅底斜坡和骶尾部。当其发生在颅颈交界区域时,会引起特定类型的颈部疼痛,主要原因包括:
机械压迫效应:颅颈交界区是头颅与颈椎的连接处,结构复杂。脊索瘤在此区域生长会直接压迫脑干、颈髓和神经根,引起颈部疼痛和神经功能障碍。
骨质破坏:脊索瘤具有侵袭性,可侵蚀斜坡、枕骨髁、寰椎(C1)、枢椎(C2)等关键骨性结构,导致局部疼痛和颅颈不稳定。
神经血管受累:颅颈交界区集中了椎动脉、后组颅神经等重要结构,肿瘤可能包裹或压迫这些结构,影响血流和神经传导。
颅内压变化:当肿瘤阻碍脑脊液循环时,可引起颅内压增高,产生剧烈头痛并放射至颈部。
手术治疗案例展示
主刀医生:INC旗下世界神经外科顾问团(WANG)成员、世界神经外科联合会(WFNS)颅底手术委员会前主席Sebastien Froelich(福洛里希)教授

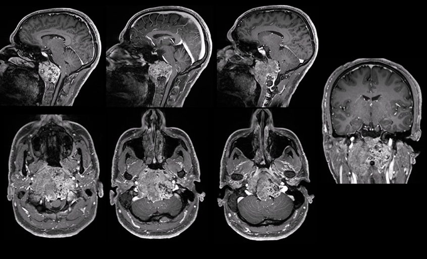
病例一:26岁男性巨大脊索瘤
患者因"颈部疼痛"就诊,发现巨大脊索瘤,肿瘤直径达10厘米,体积96.5cm³,侵犯斜坡、枕骨髁、C1-C2椎体,严重压迫脑干。

治疗策略:采用经远外侧经髁入路进行显微镜+神经内镜双镜联合肿瘤切除,随后行枕颈融合术。创新性使用Roy-Camille技术进行固定,为后续质子治疗创造无金属通道。
结果:肿瘤完全切除,术后吞咽功能改善,颈部疼痛缓解。术后8周接受质子治疗,实现全面治疗。

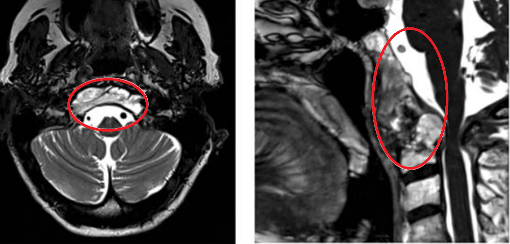
病例二:74岁女性复发脊索瘤
患者有慢性颈部疼痛病史1年,外院初次手术后5年复发,肿瘤尺寸51.3×74.3×25.9毫米,引起C2椎体病理性骨折及脊髓压迫。

治疗策略:采用神经内镜和显微镜双镜联合,使用前-远外侧入路一次全切肿瘤。

结果:术后MRI显示肿瘤完全切除,患者接受枕颈固定后无并发症,术后9个月无复发,神经功能正常,恢复日常活动。

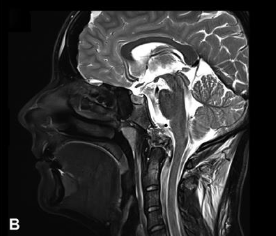
病例三:21岁女性脊索瘤
年轻女性因颈部疼痛就诊,MRI发现颅颈交界区脊索瘤,伴骨质破坏和硬膜内延伸,累及双侧椎动脉。

治疗策略:采用内镜辅助的前外侧入路顺利切除肿瘤,术后几天行枕颈融合术确保稳定性。

对于特定位置的脊索瘤,个体化手术入路的选择至关重要,需要在尽可能切除肿瘤的同时,保护好重要的神经血管结构。脊索瘤虽然罕见,但因发病隐匿、早期症状不典型,容易与普通颈椎病混淆,常导致误诊或延迟诊断。对于持续不缓解、进行性加重、伴有神经症状的颈部疼痛,应提高警惕,及时进行MRI等影像学检查,以排除颅颈交界区病变的可能。

胶质瘤
垂体瘤
脑膜瘤
脑血管瘤
听神经瘤
脊索瘤

沪公网安备31010902002694号