在神经外科治疗领域,时间因素对预后具有决定性影响。时至年末,众多复杂神经外科疾病患者仍在积极寻求治疗方案,期待重获健康。
西方圣诞节的重要程度相当于中国的春节佳节。而在圣诞前夕,这位德国神经外科专家将专程来华,为患者带来康复的曙光。
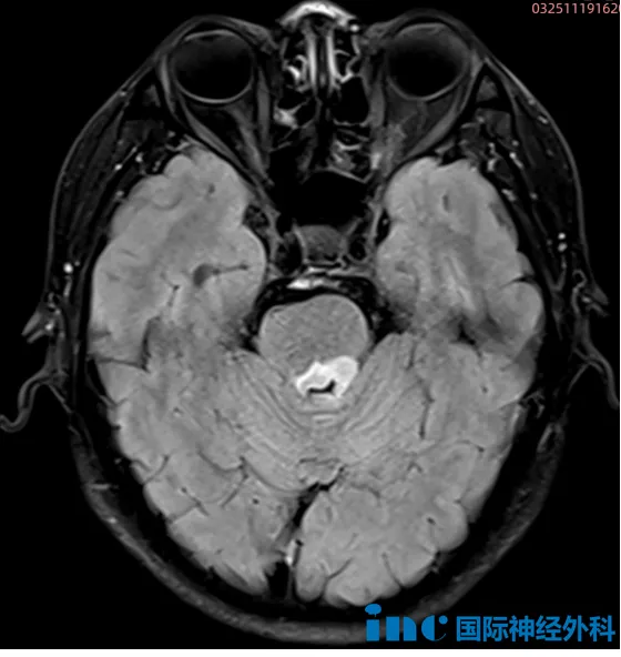
病例一:37岁脑干病变患者的迫切诉求
"我决定接受手术,巴教授能否尽快为我安排?"这是周先生(化名)最关心的问题。尽管天气渐凉,这位37岁的患者却持续面临面部发烫和右手灼热感的困扰。

10月中旬的头颅检查结果显示:脑桥后方存在约1.8cm×1.0cm的异常信号,初步判断为脑实质肿瘤,疑似胶质瘤。周先生曾赴北京、上海多家医院就诊,均得到相似结论:"病变位置深在,手术风险极高,建议定期随访观察。"
然而考虑到自己正处于事业关键期,且承担着家庭主要经济责任,周先生深知手术的必要性。在了解到巴特朗菲教授在脑干高风险手术领域的丰富经验后,他果断寻求帮助。
视频会诊过程中,教授不仅对手术成功充满信心,还通过详实的数据分析了手术风险与切除概率。关于手术时机,巴教授明确表示:
"首先,这明确是肿瘤病变。即使是低级别肿瘤,也存在恶变可能,这是反对观望策略的有力依据。等待只会促进肿瘤生长,对患者不利。
其次,目前肿瘤在脑干内的浸润程度较浅。影像显示病变位于第四脑室表面,未深入脑干实质。若继续等待,肿瘤可能向深部进展,显著增加手术难度。
当前无症状是积极信号,说明肿瘤尚未造成永久性神经损伤。但若病情进展,神经功能可能受损,将使手术更加复杂。

最终手术决策权始终属于患者本人。"
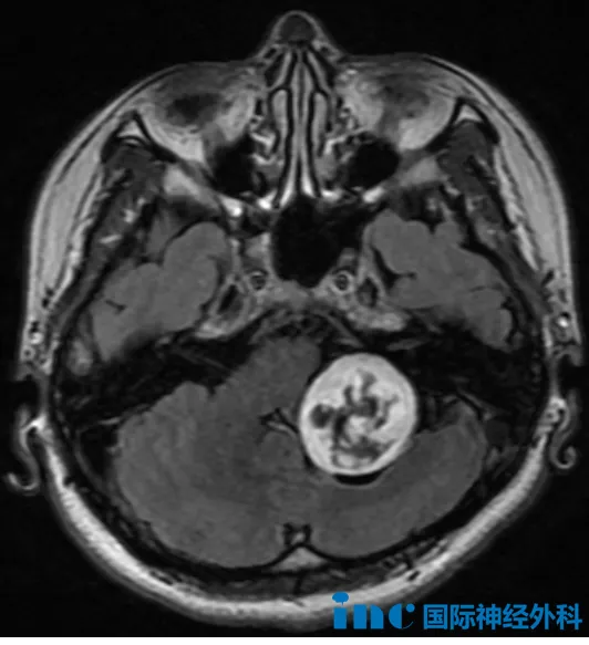
病例二:33岁桥小脑角区病变的治疗探索
林女士(化名)的诊疗经历同样引人关注。一次意外摔倒后的检查发现左侧桥小脑角区存在约36×32mm的占位病变。鉴于手术高风险,患者接受了射波刀放疗治疗。

然而放疗后肿瘤未见明显缩小,却逐渐出现左侧面部肌肉抽搐、眼周跳动、耳鸣头晕等症状。更令人担忧的是,病变性质始终未能明确。
巴教授详细分析影像资料后指出:"这个增强病灶位于左侧小脑桥角区,累及颈静脉孔。从形态学判断,可能来源于后组颅神经的神经鞘瘤,但也不排除其他肿瘤类型。目前未见恶性征象,基本可判定为良性病变。"
教授强调:"手术切除是明确可行的治疗方案。我从事神经外科工作42年,完成过多例类似手术,效果均较理想。虽然既往放疗可能增加神经与肿瘤的粘连程度,但手术中会尽力保护神经完整性。当前应尽快手术,任何延误都可能导致肿瘤继续生长,增加后续治疗难度。"
临床启示与时间重要性
这些病例并非特例,众多位于脑干、丘脑、颅底等复杂部位的肿瘤患者,常在"高风险手术"与"继续观察"之间艰难抉择。疾病进展从不停滞,治疗时机转瞬即逝。
即使临近岁末,疾病的阴霾依然笼罩着患者和家属。在神经外科治疗决策中,每个选择都关乎不同的预后结果。时间不仅是日历数字,更代表着神经功能的保全、生活质量的维持,有时甚至是生存机会的把握。

今年冬季,或许将成为关键转折点。12月下旬巴教授来华行程,为等待救治的患者带来了新的希望。


胶质瘤
垂体瘤
脑膜瘤
脑血管瘤
听神经瘤
脊索瘤

沪公网安备31010902002694号