第五届世界神经外科顾问团云端峰会临近之际,多位国际神经外科专家陆续抵达中国上海,包括世界神经外科学院前院长James Rutka教授。这些专家在各自专业领域深耕发展,此次齐聚不仅参与学术盛会,更为疑难脑瘤患者提供前沿治疗希望。
1月21日,Helmut Bertalanffy(巴特朗菲)教授提前抵达中国,在3天内完成近10例咨询及示范手术。Rutka教授抵达上海当日,即为一名特殊病例患儿家庭提供专业诊疗方案,该患儿肿瘤特征无法归类于任何已知肿瘤类型。

01 未知肿瘤的诊断挑战与临床进程
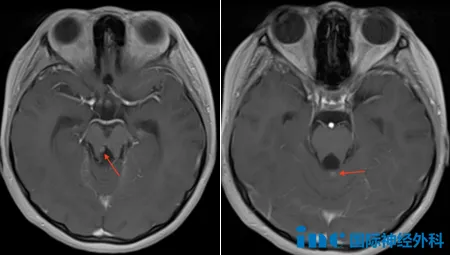
10岁男性患儿安格2025年4月出现呕吐症状,初诊怀疑胃肠道问题。6月MRI检查发现后颅窝存在3.1cm×3.6cm×5.0cm肿瘤,肿瘤占据第四脑室并阻塞脑脊液通道,引发脑积水。当月接受内镜下第三脑室造瘘术(ETV),4天后后行后颅窝开颅手术,实现内镜下肿瘤全切。术后恢复良好,仅存右侧眼球内收受限,可正常行走活动。
术后病理显示为罕见低级别胶质瘤,基因检测显示GFAP、Olig2、ATRX和SOX10阳性,H3K27M、p53和BRAF600E阴性。甲基化亚型分析表明该肿瘤无法归类于现有数据库任何已知类型。2026年1月复查发现小脑蚓部、右侧导水管周围区域和内侧中脑存在小型结节,提示肿瘤复发或转移可能。

02 专家治疗建议与后续方案
Rutka教授分析认为,右脑室周围和小脑蚓部结节可能为原发肿瘤残留,若双侧侧脑室结节确存在,则提示肿瘤转移。因当前结节体积较小,建议先行脊髓MRI检查明确肿瘤扩散情况。

针对特殊基因检测结果,Rutka教授指出CDKN2A/B突变与NTRK2-QK1融合变异共存可能增加肿瘤高级别转化风险。虽无CDKN2A/B突变靶向药物,但NTRK突变可采用Larotrectinib(Vitrakvi)、Enrectinib(Rozlytrek)和Repotrectinib(Augtyro)等靶向药物治疗。研究证实TRK融合阳性中枢神经系统肿瘤患者对拉罗替尼反应迅速且持久,疾病控制率良好;TRK抑制剂可用于NTRK融合的婴儿高级别肿瘤,实现长期肿瘤稳定。

建议后续2-3个月进行早期MRI监测,若证实肿瘤扩散或生长,可尝试靶向治疗。若侧脑室结节增大,考虑内镜下活检。标准化疗和放疗作为后续备选方案。早期积极治疗有望实现长期肿瘤控制,避免恶性转化可保障长期生存。

研究背景与治疗展望
Rutka教授30余年专注儿童神经外科研究,领导The Arthur and Sonia Labatt脑肿瘤研究中心深入探索脑肿瘤生长侵袭机制。其近期研究聚焦儿童弥漫性低级别胶质瘤分子遗传特征与治疗方案。
研究纳入269例播散性低级别胶质瘤患儿大型国际队列。弥漫性软脑膜播散(无原发肿瘤实体)及婴儿期肿瘤临床预后最差。遗传特征与非播散性低级别胶质瘤存在显著重叠,表明非遗传机制是播散重要影响因素。靶向RAS/MAPK通路抑制作为一线或二线治疗效果优于传统化疗。



后续将持续报道INC国际神经外科专家在华手术交流最新动态。

胶质瘤
垂体瘤
脑膜瘤
脑血管瘤
听神经瘤
脊索瘤

沪公网安备31010902002694号