胶质瘤通常不具备自行消退的生物学特性。该类肿瘤起源于脑部胶质细胞,属于中枢神经系统常见肿瘤类型,多数病例表现为持续性生长或治疗后复发,需要结合手术切除、放射治疗和化学药物等进行综合治疗。
然而在临床实践中,存在某些非肿瘤性病变在影像学上可表现为类似胶质瘤的特征。在磁共振成像中,较低级别的岛叶胶质瘤通常呈现膨胀性、浸润性肿块表现。但岛叶区域同时存在脱髓鞘疾病和血管性病变等非肿瘤性疾病,其影像学特征可能与岛叶胶质瘤高度相似。
以下分享两例临床病例,患者均以头痛起病,初次磁共振成像检查发现占位性病变,疑似较低级别岛叶胶质瘤。但在数周后进行的术前MRI复查中,两位患者的岛叶病变均出现自发性完全消退。
因此,在进行颅内占位性病变的鉴别诊断时,特别是涉及岛叶区域的病变,需要建立全面的诊断思路。术前即刻MRI(手术前24-48小时内)必须与初次影像学检查进行仔细比对,通过评估病灶的间隔期变化识别"假性肿瘤"的影像学特征,避免不必要的外科手术干预。
本研究案例来源于INC国际神经外科医生集团旗下世界神经外科顾问团成员Mitchel S. Berger教授发表的研究《Pseudo-insular glioma syndrome: illustrative cases》。


低级别胶质瘤的临床特征与诊断标准
低级别胶质瘤(LGG)属于生长缓慢的神经胶质肿瘤,具有恶性转化的潜在风险。该疾病发病率高峰出现在30-40岁年龄段,肿瘤本身及其治疗措施均可对患者生活质量产生显著影响。
癫痫发作是多数患者的常见首发症状,但头痛和局灶性神经功能缺损也较为常见。值得注意的是,LGG好发于大脑功能关键区域,其中岛叶和辅助运动区是两个最常受累的解剖部位。
在磁共振成像上,岛叶胶质瘤表现为膨胀性、浸润性肿块,在液体衰减反转恢复序列呈高信号,T1加权平扫序列呈低信号,增强扫描无强化表现。质子磁共振波谱分析通常显示胆碱峰升高和N-乙酰天冬氨酸峰降低。LGG的标准治疗方案包括外科手术干预,治疗目标为实现最大范围安全切除,同时获取足够组织标本进行详细的分子和基因特征分析。
尽管LGG具有相对特征性的临床症状和影像学表现,但在临床评估过程中保持严谨的鉴别诊断思路至关重要,需要包括可模仿肿瘤表现的非肿瘤性病变,如脱髓鞘疾病、自身免疫性疾病、其他肿瘤类型、不典型感染和血管性病变等。建议在计划手术前24-48小时内进行术前MRI检查,以便在手术干预前对病灶进行额外评估,观察可能提示非肿瘤性病变的自发消退现象。
病例分析:两例疑似岛叶胶质瘤的自发消退
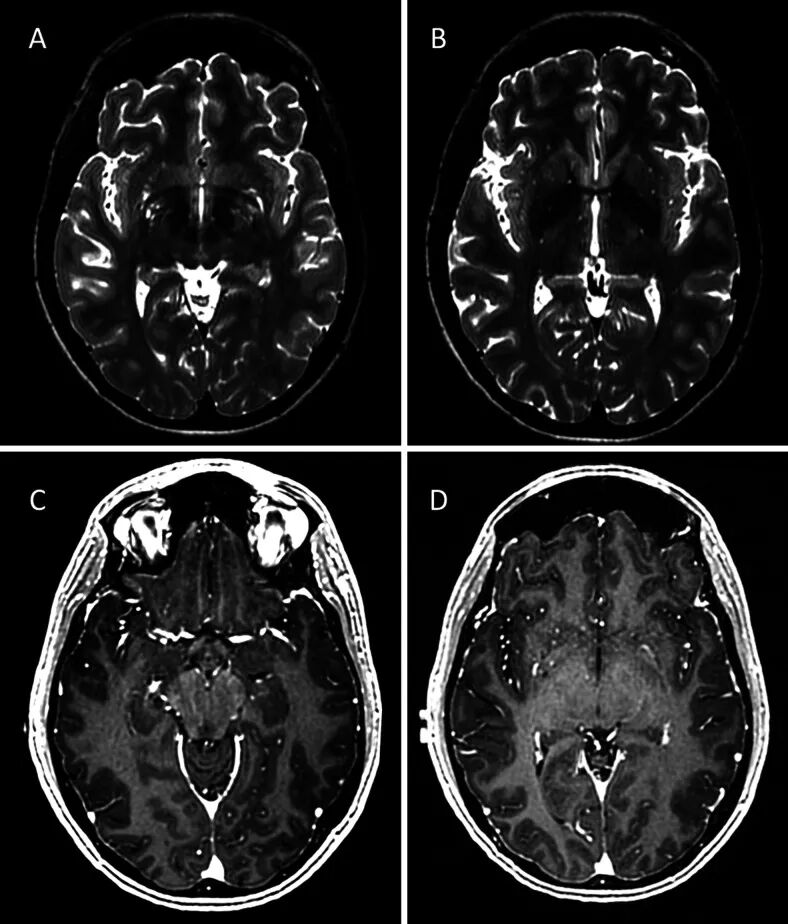
病例一:37岁女性患者,以新发左侧头痛为主要症状,外院影像学检查提示左额颞叶新发占位性病变。神经系统检查未见异常表现。头颅MRI检查显示左侧岛叶IV区局灶性高信号影,T1增强扫描显示左侧大脑中动脉分支周围血管周围强化。初次影像学评估符合低级别胶质瘤表现。
在计划手术干预前7周进行的复查影像学检查显示,T2、FLAIR及T1增强序列上的岛叶IV区病灶已完全消退,左侧大脑中动脉周围强化现象消失。值得注意的是,患者在复查前未使用类固醇药物治疗。

病例二:41岁女性患者,有偏头痛病史,因头痛性质改变就诊。神经系统检查无异常发现。头颅MRI显示左侧岛叶IV区局灶性高信号,伴大脑中动脉分支周围血管周围强化。初步诊断考虑岛叶低级别胶质瘤。
6周后复查MRI显示,左侧大脑中动脉强化和岛叶病灶均已完全消退。11个月后随访影像显示病灶消退状态稳定。该病例同样未使用类固醇治疗,未进行脑脊液检查。

影像学在胶质瘤诊断与治疗中的关键作用
磁共振成像对低级别胶质瘤的诊断具有决定性作用,其阳性预测值达79%-92%,阴性预测值为44%-86%。结合灌注加权成像、弥散加权成像和质子MR波谱等先进序列,诊断准确性可进一步提高。正电子发射断层扫描在区分低级别与高级别胶质瘤方面也展现出高灵敏度和特异性。
在手术规划阶段,术前复查MRI能为外科医生提供精确的肿瘤定位和特征信息。Berger教授团队常规在术前24-48小时获取包含弥散张量成像和基准标记的高质量MRI扫描。弥散张量成像可清晰显示白质纤维束走行,有助于实现最大范围安全切除目标。
脑肿瘤"伪装者"的鉴别诊断
多种非肿瘤性病变可表现为占位性病变,主要包括放射性坏死、亚急性梗死、脱髓鞘性疾病、炎症性病变、血管性病变和感染性病变等。肿瘤样脱髓鞘病变通常是多发性硬化或急性播散性脑脊髓炎的表现形式,是常见的胶质瘤模仿者。
肿瘤样脱髓鞘病变的典型特征包括病灶直径大于2厘米、白质病变、不完全强化、不规则边界、占位效应和灰质受累等。当患者存在多发性硬化病史或脑室周围典型T2高信号病变时,有助于鉴别诊断。
中枢神经系统血管病变同样可表现为占位性病变,约5%的原发性中枢神经系统血管炎病例可模仿脑肿瘤表现。血管性病变常表现为T2高信号伴弥散受限,临床多以头痛和脑病症状为主要表现。
临床决策关键考量因素
本报告描述的两例自发消退岛叶病变的根本病因尚未明确,但可排除典型岛叶胶质瘤诊断。虽然病变影像学表现符合低级别胶质瘤特征,但大脑中动脉分支周围异常强化和病变自发消退的特点与胶质瘤生物学行为不符。
对于疑似血管炎病例,建议复查MRI并请神经内科或风湿免疫科会诊。初步诊断应包括血液学和脑脊液检查。血管造影检查有助于评估大血管病变。对于符合偶发低级别胶质瘤影像学特征的病变,鉴于早期手术带来的生存获益,应考虑手术切除治疗。
临床经验表明,对于疑似岛叶低级别胶质瘤病例,需建立广泛的鉴别诊断思路,并在术前24-48小时内获取影像学复查资料。大脑侧裂内大脑中动脉分支周围的血管周围强化可能作为"假性岛叶胶质瘤综合征"的重要警示征象,需引起临床医师高度重视。

胶质瘤
垂体瘤
脑膜瘤
脑血管瘤
听神经瘤
脊索瘤

沪公网安备31010902002694号