儿童颅咽管瘤的治疗目标究竟是什么——是切干净,还是保住功能?目前的主流观点是:比起根治性切除,生活质量更重要。因此,医生通常会建议"能切多少切多少,剩下的交给放疗",目的就是减少术后后遗症。
经蝶入路从上世纪60年代初开始用于治疗颅咽管瘤,随着内镜技术的引入,这套入路在可视化和安全性上都有了明显提升。但在儿童身上,内镜颅底手术的推广一直落后于成人——孩子的鼻腔通道狭窄,限制了鞍区以外肿瘤的安全切除。所以长期以来,内镜经鼻入路只用于处理体积较小、囊性、主要位于鞍内-鞍上区的颅咽管瘤。
面对儿童颅咽管瘤,到底开颅好还是内镜好?一项纳入了1438名患儿的研究给出了对比数据。

内镜经鼻入路(EEA)的情况
接受内镜经鼻手术的403名患儿中,98%术前存在不同程度的视力障碍,其中视力受损占57%。86.1%术前有内分泌问题,垂体前叶功能障碍占75.8%,尿崩症占33.9%。下丘脑综合征占24.3%,脑积水占22.4%,颅内压增高表现占23.6%。
其中331人(82.1%)实现了肿瘤大体全切。围手术期死亡率为1.2%,术后并发症发生率为13.9%,全切后的复发率为10.0%。
术后视力改善的患者占43.7%,视力恶化占4.5%。90.6%术后仍有内分泌功能受损,永久性尿崩症发生率高达70%。总体生存率为98.8%。

开颅手术(经颅入路,TCA)的情况
接受开颅手术的患儿中,92.6%术前有视觉功能障碍,视力障碍占62.2%。59.3%术前存在内分泌功能缺损,尿崩症占20.4%,下丘脑综合征占19.3%。脑积水比例更高,达36.7%,颅内压增高表现占42.5%。
全切率只有55.0%,低于内镜组。围手术期死亡率1.5%,术后并发症总发生率为19.7%,复发率则达到26.8%。
术后视力改善者占17.0%,视力恶化占11.3%,77.4%存在内分泌功能受损,永久性尿崩症占66.4%。下丘脑综合征发生率升至24.3%。总体生存率94.5%,低于内镜组。

两种入路直接对比
合并垂体前叶功能障碍和尿崩症的患儿,更多采用了内镜经鼻入路;而合并脑积水或颅内压增高的患儿,则更多接受了开颅手术。
内镜经鼻入路更多用于鞍区-鞍上区的颅咽管瘤,以及累及脑室内和下丘脑的肿瘤;单纯鞍上区的颅咽管瘤则更多通过开颅切除。
研究还发现,开颅手术在大体全切后的复发率明显高于内镜经鼻入路。这可能与开颅手术后术中肿瘤播散风险较高有关;而经蝶入路硬膜内通道更短、内镜提供的术野更清晰、术中冲洗更充分,这些因素共同降低了复发风险。

内镜经鼻入路目前仍存在的短板是脑脊液漏——发生率约8%,明显高于开颅手术的1.6%。不过随着颅底重建技术的进步,特别是鼻中隔瓣的广泛使用,这一并发症的发生率已在逐步下降。
研究结论认为,随着内镜颅底手术技术的进步,内镜经鼻入路的适应范围正在扩大。事实上,接受内镜手术的患儿往往肿瘤更大、伴有鞍上扩展、甚至累及第三脑室和下丘脑——手术难度更高。能在这些复杂病例中取得良好的手术结局,说明内镜经鼻入路在处理高难度儿科病例时有效且安全。不过脑脊液漏仍是需要持续关注的问题。

过去30年间,内镜经鼻入路相比开颅手术,在发表文献数量、患者治疗数量和适应范围三个方面都呈现持续增长趋势。
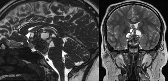
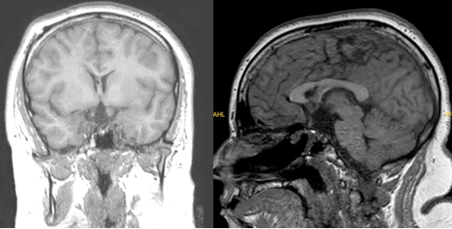
一个实际案例
一位14岁患儿因视力模糊和剧烈头痛就诊,检查发现一个位于视交叉后方、伴有钙化的颅咽管瘤。主刀医生Rutka教授首先为患儿进行了脑室-腹腔分流术,缓解脑积水;随后通过内镜经鼻入路完成肿瘤全切。术后患儿视力显著改善,开始接受激素替代治疗,至今未见复发。

术前

术后

胶质瘤
垂体瘤
脑膜瘤
脑血管瘤
听神经瘤
脊索瘤

沪公网安备31010902002694号