颅内室管膜瘤最常见于第四脑室,常延伸至蛛网膜下腔,部分病例包裹延髓和上段颈髓。疑似室管膜瘤患者的初始治疗方式为尽可能安全地切除肿瘤。第四脑室肿瘤常被小脑蚓部、小脑扁桃体或部分小脑半球遮蔽;因与脑干紧密相邻,可导致脑干移位、受侵,甚至直接起源于脑干,手术极具挑战性。肿瘤常经Luschka孔延伸至小脑延髓池、延髓前池、桥脑前池及脊髓前池,并与后组颅神经、椎-基底动脉及其主要分支和穿支动脉关系密切。因此,安全全切第四脑室病变需时刻关注并保护上述所有结构。只有深入理解显微外科解剖、选择合适手术入路,并配合精细显微技术操作,才能实现肿瘤全切并将手术相关致残率降至最低。

手术风险较高,但切除程度与肿瘤学结局和生存率密切相关,初始良好切除可使患者显著获益。基于SEER数据库2408例恶性CNS室管膜瘤的分析显示,手术全切是延长生存的最关键因素(中位生存期237个月,5年生存率72.4%),而WHO III级、男性、高龄、颅内病灶及未全切均为独立不良预后因子;对于无法全切的患者,术后辅助放疗可改善预后。


高风险肿瘤能否实现顺利全切?
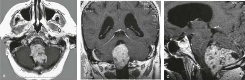
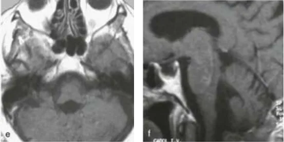
病例一:74岁女性患者
因持续性剧烈头痛与进行性步态不稳就诊,日常行走需搀扶。术前MRI(a-c)显示巨大肿瘤完全占据第四脑室,向下延伸至颅颈交界区,压迫脑干,手术风险高。肿瘤病理为良性室管膜瘤,经INC巴教授手术实现全切(术后MRI见e、f),未新增神经功能障碍。


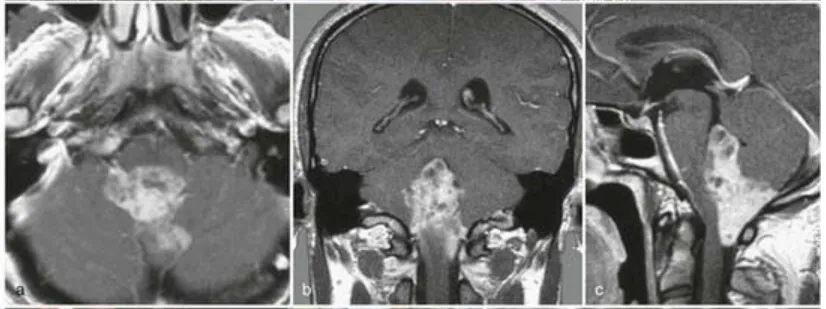
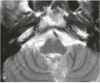
病例二:31岁男性患者
因颈部疼痛及步态共济失调就诊,术前MRI(a-c)显示第四脑室及背侧颅颈交界区存在巨大室管膜瘤。巴教授实施手术后,术后MRI(e)证实肿瘤全切,术后未出现新发神经功能缺损。


第四脑室肿瘤手术风险分析
小脑损伤:部分患者长期遗留平衡障碍,表现为蹒跚步态、行走不稳,部分患者出现一定程度的缄默或构音障碍;
感觉障碍:切除过程中若影响周围脑神经或神经核团,可能导致术后症状。第四脑室底呈菱形,桥脑与延髓的神经核团多与此毗邻,如延髓的舌下神经核、迷走神经背核、耳蜗和前庭神经核;桥脑的面神经核、三叉神经运动核和三叉神经感觉核等。神经损伤后患者可能出现面瘫、复视等感觉障碍;
梗阻性脑积水:若术中局部出血或发生粘连性蛛网膜炎,可能引发严重头痛、恶心、呕吐及视乳头水肿等症状;
其他后遗症:包括反复呕吐,或因伤口愈合不良形成局部积液及反复脑脊液感染等炎症表现。
尽管第四脑室肿瘤位置疑难,但并非不治之症。手术预后与手术时机把握和决策密切相关。巴教授曾提出“Sooner is better”,尽早手术可争取更好预后,选择能力范围内的医生主刀,是争取更佳预后和生活质量的重要保障。
室管膜瘤的良恶性分类
根据2021版WHO分类系统,室管膜肿瘤根据解剖部位(幕上、颅后窝、脊髓)、组织学(室管膜下室管膜瘤、黏液乳头状室管膜瘤、室管膜瘤)和分子学改变进行分类,并确定了几种由分子特征界定的新类型:

室管膜瘤:通常与周围脑组织界限清楚,常出现钙化、出血和囊性区域。室管膜瘤历来分为典型或间变性,但其分级预后意义尚不确定。虽有报道显示间变性室管膜瘤(3级)预后较差,但其他研究未证实此结论。
基于上述因素及预后相关分子亚组的识别,WHOCNS5不再将室管膜瘤在组织学上分为典型和间变性,而是根据组织学、部位和分子特征分类。组织学分级由病理医生自行决定。
室管膜下瘤:属WHO 1级胶质瘤,常见于颅后窝(第四脑室,50%-60%)或幕上区(侧脑室,30%-35%)。第三脑室和脊髓室管膜下室管膜瘤较罕见。多数室管膜下室管膜瘤无症状,为神经影像学检查时偶然发现。
黏液乳头状室管膜瘤:属WHO 2级胶质瘤,常见于脊髓,多位于脊髓圆锥和终丝。其他部位如侧脑室、第四脑室、脊髓上段及CNS之外亦有报道。
分子亚组分类
室管膜瘤常存在基因组改变,且随解剖位置不同而异。根据现有数据,目前识别以下亚组:
颅后窝室管膜瘤A组(PFA):预后不良,主要见于婴幼儿。PFA肿瘤染色体1q增加可预测不良结局,6q缺失也可能预测不良结局。此类改变见于15%-20%的新诊断肿瘤和高达60%的复发性肿瘤。
颅后窝室管膜瘤B组(PFB):见于年龄较大儿童和成人,预后较好。
幕上室管膜瘤伴ZFTA融合(ST-ZFTA):回顾性研究报道ZFTA融合提示预后不良,但前瞻性研究对此提出质疑,需谨慎向患者和照料者解释此结果。
幕上室管膜瘤伴YAP1融合(ST-YAP):YAP1融合肿瘤仅占幕上室管膜瘤的一小部分,多发生于婴儿。该亚组预后可能优于其他室管膜瘤亚组,但需前瞻性研究验证。
幕上室管膜瘤不伴ZFTA和YAP1融合:较为罕见,需更大规模研究进一步了解。
参考资料:颅内室管膜瘤和其他室管膜肿瘤. UpToDate临床顾问.

胶质瘤
垂体瘤
脑膜瘤
脑血管瘤
听神经瘤
脊索瘤

沪公网安备31010902002694号