INC国际神经外科医生集团
当前位置:inc(INC) > 巴特朗菲教授

松果体肿瘤

远外侧入路重要提出者全切脑干

远外侧入路重要提出者全切脑干

疫情下,又一位中国疑难神经系统疾病患者远赴德国INI成功手术...

57岁枕骨大孔区脑膜瘤患者,德国

57岁枕骨大孔区脑膜瘤患者,德国

枕骨大孔区等位于颅底深部的脑膜瘤治疗难点在于难以切除干净...

枕骨大孔脑膜瘤怎么治疗?复发

枕骨大孔脑膜瘤怎么治疗?复发

枕骨大孔 脑膜瘤 怎么治疗?复发几率大吗?脑膜瘤是常见的...

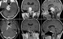
斜坡脑膜瘤手术成功率是多少?

斜坡脑膜瘤手术成功率是多少?

斜坡脑膜瘤手术成功率是多少?风险大吗? 脑膜瘤 (Meningiomas)是...

非典型脑膜瘤who二级严重吗?能

非典型脑膜瘤who二级严重吗?能

非典型脑膜瘤who二级严重吗?能治好吗? 脑膜瘤 是脑膜的肿瘤,...

左顶镰旁脑膜瘤是癌症吗?手术

左顶镰旁脑膜瘤是癌症吗?手术

左顶镰旁 脑膜瘤 是癌症吗?手术未做干净怎么办?由于大脑镰旁...

儿童颅咽管瘤能治好吗?治疗策

儿童颅咽管瘤能治好吗?治疗策

晓米(化名)已经6岁了,但相对比同龄的小朋友她的个子矮了许...

颅咽管瘤全切除有可能吗?INC国

颅咽管瘤全切除有可能吗?INC国

颅咽管瘤全切除有可能吗?如何避免术后复发?颅咽管瘤(cran...

儿童脑动静脉畸形手术成功率高

儿童脑动静脉畸形手术成功率高

儿童脑动静脉畸形手术成功率高不高? 脑动静脉畸形 是连接脑内...

神经外科治疗

照片/视频云集

神外历史

神外历史

Neurosurgical History

学术访问

学术访问

Academic Visits

国际治疗

国际治疗

International Treatment