听力下降、突发性耳聋、耳部闷胀感等常见症状反复出现时,患者常误认为疲劳、衰老或普通炎症所致。这些表现可能是颅内听神经瘤的早期预警信号。听神经瘤作为桥小脑角区最常见良性肿瘤,占该区域肿瘤发病率的80%-90%,好发年龄为30-50岁成年人群体。
虽然听神经瘤多为良性病变,但因生长于桥小脑角区这一重要解剖部位——该区域汇集面听神经、脑干及重要血管结构,形成复杂的"神经血管丛"——若未及时干预,肿瘤增大会压迫关键脑组织与神经,导致面瘫、听力丧失等严重并发症,甚至危及生命。
临床表现与诊断挑战
听神经瘤最显著的特征是早期症状隐匿且不典型。最常见的初始症状包括单侧进行性听力下降、耳鸣或耳部闷胀感,这些表现与突发性耳聋、中耳炎等耳科疾病症状相似。当患者为老年人时,症状易被误判为"老年性耳聋";中青年患者则常被归因于"劳累过度"。患者可能多次就诊于耳科,接受常规听力检查甚至CT扫描,但因肿瘤微小或CT对软组织分辨率不足而难以发现异常。

听神经瘤的典型症状包括九大临床表现:单侧听力下降、耳鸣、耳闷、眩晕、行走不稳、面部麻木、面部抽搐、头痛呕吐及步态异常。随着肿瘤生长,压迫周围神经和脑组织会导致症状加重,当压迫脑干和第四脑室时可能引发脑积水,产生危及生命的严重并发症。
诊断听神经瘤的金标准是头颅增强磁共振成像(MRI)检查,其对微小肿瘤的检出率超过95%。CT检查因软组织分辨率较低,主要作为骨质评估的辅助手段,这解释了为何许多患者早期CT检查正常而后期MRI确诊。
临床病例分析
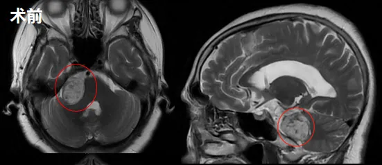
病例一:老年听神经瘤伴脑积水
70岁患者齐奶奶2018年出现右耳听力下降,初被视为正常衰老现象。2020年症状加重,出现行走偏斜、下肢无力、跌倒及大小便失禁。2021年MRI检查确诊为右侧听神经瘤(20mm×15mm×19mm)合并脑积水。经多学科评估,患者先接受脑积水引流术缓解症状。2022年10月复查显示肿瘤增大至3厘米,遂行手术全切。术后患者恢复良好,一年后生活完全恢复正常。



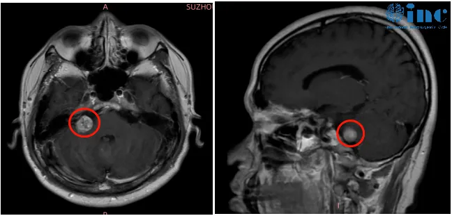
病例二:青年教师听神经瘤保功能手术
35岁高校教师高老师在讲课过程中突发右耳听力下降伴耳鸣,纯音测听显示重度听力损伤(60-70分贝)。MRI发现右侧听神经瘤,肿瘤主要位于内听道内。经过保守观察后症状复发,选择"内听道磨除术+膜内切除术"成功切除肿瘤并保留神经功能。术后三个月面瘫完全恢复,患者重返教学岗位。


病例三:长期误诊的巨大听神经瘤
30余岁女性患者2019年始发耳部闷胀感,多次检查未见异常。2021年症状加剧,出现站立不稳、视力下降等表现,MRI确诊为3.5厘米听神经瘤压迫脑干。经过个体化手术入路结合神经电生理监测,实现肿瘤全切并保留面部功能。术后两年随访无复发迹象。


诊疗建议与预后评估
上述病例表明,单侧听力下降、耳鸣、耳闷、眩晕及面部麻木等症状需引起重视,这些可能是听神经瘤的早期表现。及时进行头颅增强MRI检查是避免误诊的关键。虽然听神经瘤临床表现隐匿,但通过规范治疗可获得良好预后。首次手术方案的选择直接影响长期治疗效果,建议根据国际诊疗标准选择经验丰富的手术团队,力争实现肿瘤全切与神经功能保留的最佳平衡。理想的手术结果应包括长期无复发、低并发症发生率和短恢复周期,使患者尽快回归正常生活。

胶质瘤
垂体瘤
脑膜瘤
脑血管瘤
听神经瘤
脊索瘤

沪公网安备31010902002694号