北京时间2025年10月20日,INC巴特朗菲教授在苏州大学附属儿童医院顺利完成一例儿童脑瘤示范手术。
病例一:6岁女性小脑占位病变
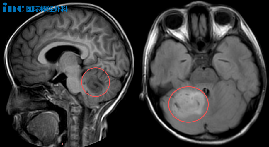
6岁女性患儿乐乐,一个月前经检查发现小脑占位性病变,这一诊断曾使患儿家庭陷入迷茫与无助状态。MRI影像显示较大体积肿瘤,患儿临床表现包括头晕头痛、嗜睡等症状,与原本活泼开朗的状态形成明显对比。导致该临床症状的病因未能及时明确,对患儿父母造成长期困扰。

一个月后,患儿等到巴教授诊治。巴教授术前评估表示:"手术对我来说并非难事,我能完成!"当天上午,巴教授主刀,与苏州大学附属儿童医院神经外科团队协作,应用术中导航及术中超声技术,仔细确认肿瘤边界,最终为患儿顺利实施手术。
从医院陆续传来好消息,乐乐的手术过程顺利,且获得非常满意的切除效果。众人关注这名幸运患儿的病情,对患儿家庭而言,尽管医院外部天气阴沉,但他们内心希望正在升起。
随后,巴教授立即前往苏州大学附属第四医院,那里有更多等待接受示范手术的疑难脑瘤患者。
病例二:26岁女性右侧丘脑病变
26岁女性患者芝芝,经检查发现右侧丘脑病变,尺寸约25mm×23mm×24mm。虽无显著临床症状,但患者及家属希望尽早解决这一隐患。术前评估期间,巴教授明确表示:"手术风险确实存在,但我掌握规避方法。"巴教授通过40余年持续学习与实践,专门掌握相关风险控制技术。术前谈话时,患者母亲详细了解了手术具体细节。本次手术将在尽可能切除病灶的同时,保全神经功能。


病例三:18岁男性神经纤维瘤病多次手术
18岁男性患者帆帆,自2009年起开始艰难的求医历程。4岁时接受第一次手术,切除头顶部神经鞘瘤。14岁时确诊神经纤维瘤病2型,接受右侧小脑病损切除术。2022年10月以来,患者反复出现右下肢剧烈疼痛,严重时疼痛持续约6小时,影响睡眠;同时伴有进行性听力下降。今年7月复查显示,后颅窝、颈椎椎管及胸壁多处病灶仍有进展,右颈部病变尺寸约7.0cm×5.2cm。

面对疾病的长期挑战,这名青少年表现出超乎年龄的坚韧毅力,其家人始终提供坚强支持,通过持续陪伴给予前进力量。

咨询巴教授后,他们了解到需要分次手术处理多处病灶。鉴于颈髓病灶持续进展可能导致瘫痪风险,首次手术将优先处理该部位。通过面对面交流,教授的回复给予他们极大信心,并提供决策勇气。
随着巴特朗菲教授中国行的持续推进,从详细咨询、深入术前沟通到手术顺利实施,这个秋天他们迎来重要的治疗转机。同时,新一轮面对面咨询为更多患者及家庭带来信心与希望。
医疗行程仍在继续,生命力量持续不息。我们期待并关注那些即将传来的、充满生命力的临床反馈。

胶质瘤
垂体瘤
脑膜瘤
脑血管瘤
听神经瘤
脊索瘤

沪公网安备31010902002694号