低级别胶质瘤有没有可能被治愈?2025年发布的一项覆盖欧洲31个国家的研究首次对儿童中枢神经系统肿瘤患者的长期生存参数做出系统评估,纳入了2008至2013年间确诊的4类主要CNS肿瘤——低级别胶质瘤、高级别胶质瘤、室管膜瘤和髓母细胞瘤,追踪了5年、10年和15年生存率数据。

研究数据来源
研究总计纳入13,782例肿瘤病例。低级别胶质瘤5年生存率达到92%,高级别胶质瘤则为47%。在治愈比例的分析中,共纳入了30,392名儿童的数据。结果显示,低级别胶质瘤的治愈比例从1998-2001年的89%逐步上升至2010-2013年的95%,增加了6个百分点;高级别胶质瘤的治愈比例同样有所增长。10年和15年长期生存率最高的均为低级别胶质瘤,分别达到90.6%和88.5%。
具体到各个亚型,毛细胞型星形细胞瘤5年生存率为96%,室管膜下巨细胞型星形细胞瘤更是高达98%,是所有低级别胶质瘤中预后最好的两类。生存率相对较低的是黏液样型星形细胞瘤(86%)和弥漫性低级别胶质瘤(79%)。按部位来看,位于脑干的低级别胶质瘤5年生存率最低,仅为82%;而视神经部位的肿瘤预后较好,达到96%。

各亚型及部位生存率数据图
研究结论指向一个明确的信号:低级别胶质瘤是有望治愈的,长期高质量生存并非遥不可及。但同样值得注意的是,部分低级别胶质瘤患者的长期预后仍有改善空间,这与放疗带来的继发性恶性肿瘤和血管病变风险存在一定关联。
低级别胶质瘤手术为何更考验术者?
关于低级别胶质瘤的治疗,苏州大学附属儿童医院神经外科主任王杭州教授在专访中曾有一段话被广泛引用:"低级别胶质瘤的手术,是最能考验一个医生水平的手术。因为这个病人是有机会长期生存的,所以他的生活质量要求非常高,病人的安全性永远是第一位的。比如,毛细胞星形细胞瘤,治愈率非常高,有望通过手术治愈。但是,如果肿瘤长在很重要的功能区,或者与血管粘连紧密,切除后可能造成偏瘫等情况,不应将强行全切作为目标。安全前提下的尽可能切除均可以达到良好的预后。"
来看几个真实的毛细胞星形细胞瘤案例,相同之处在于肿瘤都位于高风险区域,不同之处在于治疗路径和结果。
案例一:中脑胶质瘤,术后19年无复发
一位20年前被多数医生判定为无法手术的脑干胶质瘤女孩,INC巴特朗菲教授为她成功实施了切除手术。术后病理确认为毛细胞星形细胞瘤。随访至今,她已整整19年未出现复发,日常生活状况良好。

案例二:中脑胶质瘤,术后10年未复发
患者为28岁脑干胶质瘤男性,曾在外院接受两次手术探查,仅做了肿瘤活检,病理报告为毛细胞型星形细胞瘤(WHO I级)。因肿瘤持续增大,患者先后接受了外院建议的放射治疗及为期12个月的替莫唑胺化疗,但疗效均不理想。巴特朗菲教授为其完成肿瘤全切手术后,随访10年未见复发。

案例三:中脑胶质瘤,术后9年无复发
患者为30岁女性,脑干胶质瘤。最初接受了立体定向下囊肿抽吸术和放疗,病理诊断为毛细胞型星形细胞瘤,但肿瘤仍在继续生长。巴特朗菲教授全切手术后,随访头颅MRI显示9年内无任何肿瘤复发迹象。

案例四:下丘脑胶质瘤
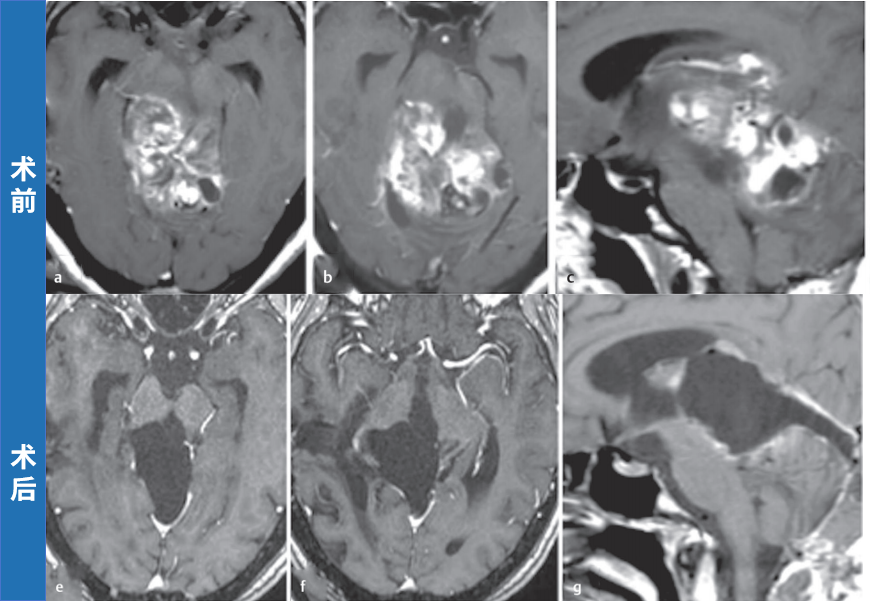
16岁的丹尼尔,4岁时确诊为下丘脑毛细胞型星形细胞瘤,第一次术后因肿瘤残留接受了多轮化疗,复查时发现肿瘤复发,同时出现全垂体功能减退和严重左眼视力下降,几近失明。复查头颅MRI显示鞍内、鞍上存在巨大占位,并延伸至左侧海马旁回及侧脑室。INC巴特朗菲教授接诊后评估认为,手术切除是唯一合理的治疗方式。最终,肿瘤获得近全切,视交叉、视束、垂体柄及下丘脑功能均得以保留。

对于正处在抉择迷茫期的低级别胶质瘤患者及家属,值得记住的是:这类肿瘤相对而言是比较"温和"的。虽然它生长在颅内,但大部分患者都有机会实现治愈,或在无法全切的情况下获得长期生存。最关键的影响因素是生活质量——而生活质量需要同时考虑近期和长期两个维度。尤其是对于儿童胶质瘤患者,还要把孩子的学习能力、生育能力以及其他社交能力纳入长期规划。因此,降低辅助治疗带来的副作用同样不可忽视。在手术切除与神经功能保留之间找到一个恰当的平衡点,是整个治疗过程中至关重要的一环。

胶质瘤
垂体瘤
脑膜瘤
脑血管瘤
听神经瘤
脊索瘤

沪公网安备31010902002694号