脊索瘤属于罕见骨恶性肿瘤类型,具有较高复发风险,复发患者的长期生存情况难以预测。脊索瘤起源于头尾轴沿线、从斜坡到骶骨的脊索残余组织。颅底脊索瘤的诊疗面临特殊挑战,需要多学科协作完成。
对于颅底脊索瘤患者,临床指南推荐实施最大限度手术切除。肉眼下的全切是改善预后的重要预测因素,为达到最大程度肿瘤切除,应考虑根据实际情况采取多种手术方式。术后是否所有脊索瘤患者都需要进行放疗?
脊索瘤临床案例分析与治疗选择
案例一:无法实现全切的脊索瘤处理方案
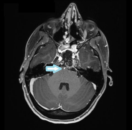
38岁女性患者,诊断为斜坡脊索瘤,肿瘤位于颅底重要区域,生长方式特殊,紧密包裹基底动脉及左大脑后动脉。手术面临重大挑战,因为基底动脉是大脑供血的关键血管,左大脑后动脉负责供应大脑半球后部血液。制定治疗方案时,医生必须特别谨慎,在尽量切除肿瘤的同时保护这些关键血管,维持正常脑功能。

术前MRI显示上斜坡脊索瘤包裹基底动脉和左大脑后动脉。
此类病变手术入路的选择取决于硬脊膜内病变扩展范围、病变侧向位置、上颈椎及颅颈椎交界(CVJ)受累情况,以及既往手术采用的入路。
INC福教授采用经鼻内镜手术,考虑到术前MRI显示椎基底动脉被肿瘤包围,手术中首先采取温和减瘤步骤,避免对血管造成过度牵拉。鉴于脊索瘤位于海绵窦水平的特殊位置,福教授术中优先考虑神经功能保护,未选择激进完全切除肿瘤,特别是在肿瘤与血管紧密粘连区域保留部分肿瘤。手术最后阶段使用角度内镜进行细致检查,确保手术视野中难以直接观察的角落无肿瘤残留。

手术入路示意图显示具体操作路径。
该经鼻神经内镜手术实现次全切除。术后患者恢复良好,未出现任何神经功能缺损或其他并发症。为巩固治疗效果,患者后续接受质子放疗。

术后MRI显示近全肿瘤切除(残留部分位于海绵窦水平)和血管通畅(箭头指示)。
该患者未实现全切,术后进行了质子治疗。那么对于全切患者,术后是否还需要质子治疗?
案例二:脊索瘤全切后放疗必要性探讨
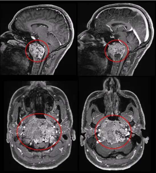
另一例福教授治疗的脊索瘤患者可能提供答案。肿瘤最大直径达10cm、体积96.5cm³,巨大肿瘤压迫脑干,福教授如何处理?术后是否进行放疗?

术前MRI显示肿瘤呈浸润性生长,向双侧后外侧扩展,右侧受累尤为严重。肿瘤侵袭至椎前间隙、下斜坡、双侧枕骨髁、第一颈椎C1前弓及C2齿状突。
为尽可能安全切除肿瘤,福教授制定综合治疗方案,术中除使用"筷子技术"外,还采用"双镜联合"技术。首先在显微镜下暴露肿瘤并进行瘤内减压,再使用神经内镜辅助探查,借助"筷子技术"切除对侧肿瘤。最后采用Roy-Camille技术进行枕颈融合术,为后续质子治疗创造无金属的定位和治疗通道。
综合治疗结果如何?患者无并发症发生,肿瘤得到完全切除。术后恢复过程中,患者吞咽功能显著改善,颈部疼痛同步缓解。8周后,患者接受质子治疗。

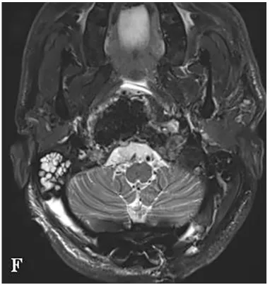
术后MRI显示肿瘤完全切除,脑干和延髓的占位性压迫解除。

术后三维CT显示C0-C3-C4-C5枕颈融合稳定,根钉的弯曲设计有助于PBRT放疗的实施。
脊索瘤术后质子治疗必要性分析
研究分享
质子辅助放疗一直是颅底脊索瘤术后的标准治疗方案。但对于已接受肉眼下全切的特定患者,是否需要普遍采用该策略需具体分析。
次全切除或去分化型/差分化型脊索瘤
所有最大限度手术切除后仍有肿瘤残留的患者,以及所有去分化型或差分化型脊索瘤患者,应采用适当高剂量辅助放疗,因此类肿瘤属放射抵抗性肿瘤。脊索瘤作为复发风险较高的恶性肿瘤,放疗旨在根除手术无法安全切除的肉眼可见及镜下残留肿瘤。
肉眼下全切的经典型脊索瘤
部分接受肉眼下全切的患者可能仅通过手术即可实现长期生存,这些患者是否行辅助放疗存在差异。
对于希望采取最大限度初始治疗并愿意承受放疗风险的患者,以及外科医生认为镜下残留肿瘤风险较高时,可选择辅助放疗。
放疗技术比较分析:质子 vs 光子 vs 传统放疗
由于脊索瘤所需放疗剂量较大(通常≥70Gy),传统放疗实施困难。使用粒子(主要为质子)或光子的大剂量聚焦放疗技术可在给予肿瘤更高剂量同时避开周围结构;此类技术包括立体定向放射外科(SRS)、立体定向放疗(SRT)。
质子束治疗脊索瘤的研究资料最多,但尚无随机试验比较这些现代治疗技术,质子束治疗的优势主要限于理论支持和个案报道。
使用光子的传统二维或三维放疗技术损伤脑干和颅神经的风险较大,而既往这些技术采用较低放疗剂量时相关局部复发率和治疗失败率较高。
1. 带电粒子放疗
与传统光子放疗相比,带电粒子放疗具有理论优势,能最大限度减少邻近正常结构的照射。此类放疗产生的Bragg峰特别有益,可在对靠近脑干的斜坡区域提供大剂量照射的同时,确保脑干及其他周围正常组织接受安全的较低照射剂量。
质子束放疗是应用最广泛的带电离子技术,该方法似乎比早期采用较低照射剂量的传统光子放疗更有效:
质子束:质子放疗是脊索瘤的典型带电粒子放疗,常用总照射剂量为70-78Gy相对生物效应(RBE)
碳离子:碳离子放疗是相对新型的治疗方式,汇总结果显示用于颅底脊索瘤的疗效和安全性均较好。与质子放疗相比,碳离子放疗的RBE更优。但尚无高质量比较研究显示哪种方式更优
2. 光子技术
光子技术的进步使治疗适形度更高,能够将高剂量集中在期望的、有时形状复杂的靶区,同时减少其他部位的附带照射剂量。随着这些技术进步,带电粒子疗法的剂量学优势显著降低。尚无随机试验比较现代先进技术SRS、SRT或IMRT与质子束或早期光子技术。但有望利用光子技术实施大剂量照射。
需注意:SRS治疗患者的总病灶体积通常较小,相关毒性数据很少。尽管如此,SRS在治疗小体积局限性病变方面仍可能有效。SRT可用于病灶过大而无法行单次SRS治疗的患者。

胶质瘤
垂体瘤
脑膜瘤
脑血管瘤
听神经瘤
脊索瘤

沪公网安备31010902002694号