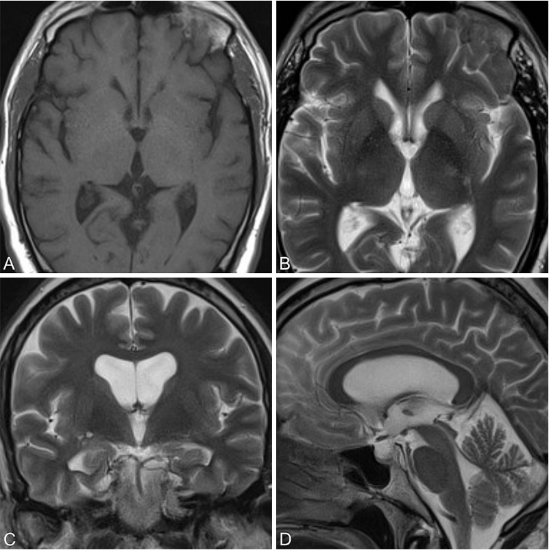
胶样囊肿属于先天性发育异常病变,并非真性肿瘤。该病变囊壁结构包含外层纤维组织和内层上皮组织,上皮内含纤毛细胞及粘蛋白分泌细胞。肉眼观察显示胶样囊肿呈乳白色、去壳荔枝样形态。多数囊肿位于第三脑室前部,处于两侧穹窿柱之间的特殊位置,易导致脑脊液循环通路阻塞,引发梗阻性脑积水,严重病例可能发生猝死。
手术技术比较与选择
传统显微外科手术与神经内镜手术均为常用治疗方式。虽然神经内镜手术仅需单一骨孔、创伤较小,但既往研究认为其全切除率低于显微手术,可能存在较高复发风险。手术方式选择需根据病变具体情况进行个体化评估。

典型病例分析
55岁男性患者因进行性行走障碍和记忆力减退就诊,影像学检查确诊为第三脑室胶样囊肿伴梗阻性脑积水。世界神经外科学会联合会(WFNS)内镜委员会前主席Henry W.S. Schroeder教授主刀施行神经内镜下囊肿切除术。术后三年随访显示囊肿完全切除,无复发迹象。


手术操作细节
手术采用神经导航系统确定最佳穿刺点。操作步骤包括:电凝处理脉络丛及囊壁血管,切开囊肿壁并吸除内容物,使用抓钳将囊膜牵拉至侧脑室,特别注意处理对侧脉络丛与囊肿粘连部位,完全游离前需电凝并切断粘连的脉络丛。
手术中使用LOTTA脑室镜(Karl Storz SE & Co.KG)配合穿刺针进入侧脑室额角。通过侧方通道采用微型抓钳提起囊膜,显露囊肿与第三脑室脉络膜组织的连接部位。经主工作通道置入双极电凝探头处理血管,再用显微剪刀离断囊蒂,完成囊肿切除。
术后使用30度及45度诊断性内镜检查脑室系统,确认无残留病灶。术区用明胶海绵填塞,严密缝合帽状腱膜,皮肤采用无创伤缝线连续缝合。

手术器械特点
LOTTA脑室镜将照明、冲洗和多个独立工作通道集成于单一鞘管内,可在单个颅骨钻孔下提供清晰手术视野,实现多器械协同操作。该器械适用于脑室内深部病变切除,特别适合在有限空间内完成复杂分离与止血操作。

手术适应证与治疗策略
手术治疗目标为实现病变完全切除。显微镜手术与内镜手术各有优势,需根据影像学评估结果选择合适方案。手术适应证包括:
所有出现临床症状的囊肿病例
无症状但存在脑脊液通路梗阻迹象的囊肿
无症状且无脑脊液阻塞的囊肿可采取观察随访策略
需特别注意病变存在突发死亡风险。
治疗结论与随访建议
短期研究显示内镜下胶样囊肿切除术后效果良好,但部分切除术后可能存在较高复发率。Schroeder教授推荐将内镜下全切除作为首选治疗方案。若无法实现全切除且预计残留较多囊壁组织,可考虑转为内镜辅助显微外科手术。当积极切除可能导致永久性神经功能缺损时,应选择次全或近全切除方案。

术后需进行长期随访监测,建议定期进行影像学检查评估手术效果和病情变化。治疗方案应根据患者具体情况个体化制定,平衡手术获益与潜在风险。


胶质瘤
垂体瘤
脑膜瘤
脑血管瘤
听神经瘤
脊索瘤

沪公网安备31010902002694号