松果体区肿瘤本身并不常见,这类肿瘤中仅有14%至30%来源于松果...
更新时间:2026-04-24 09:57:00
松果体区域手术的宝贵经验,往往仅掌握在少数资深外科医生手...
更新时间:2026-04-18 09:22:57
家属坐在诊室,手里攥着片子,眼睛里全是问号,开口第一句话...
更新时间:2026-04-10 17:53:22
松果体区肿瘤的临床表现具有复杂性与多样性特征,早期识别相...
更新时间:2026-04-04 09:55:36
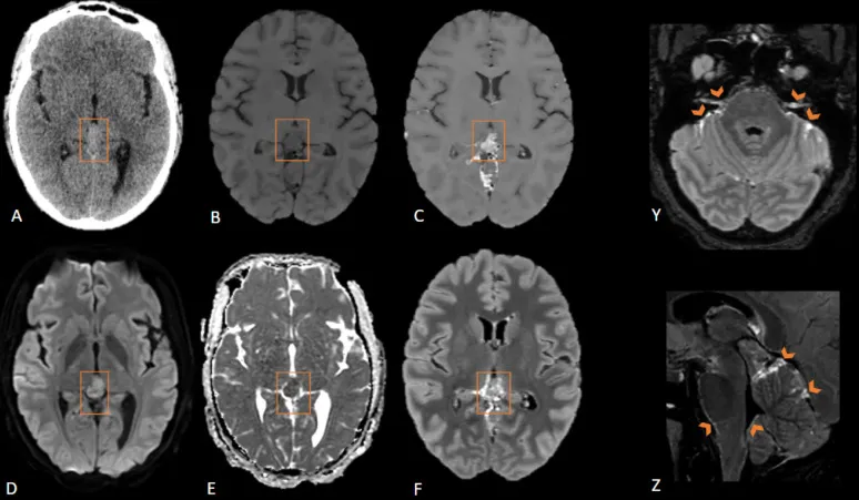
神经影像学综述《Neuroimaging in emergency: a review of possible role of pi...
更新时间:2026-03-27 10:22:01
多项国际多中心协作研究系统揭示了此类肿瘤的基因组学特征,...
更新时间:2026-03-21 21:29:45
松果体位于大脑半球的深部,夹在两侧丘脑之间,紧靠中脑顶盖...
更新时间:2026-03-17 11:14:00
松果体区肿瘤是神经外科里一个颇为特殊的存在——它的发生率...
更新时间:2026-03-16 15:42:57
人绒毛膜促性腺激素(hCG)属于一种可在多种肿瘤类型中异常分...
更新时间:2026-03-14 09:45:17
松果体囊肿就像是你家院子里的一棵树。大多数情况下,它就是...
更新时间:2026-03-13 13:55:40
INC国际神经外科顾问团成员、世界神经外科顾问团(WANG)成员...
更新时间:2026-02-27 09:40:17
2型神经纤维瘤病(NF2)作为一种进行性全身性疾病,其特征为患...
更新时间:2025-12-20 10:05:49
当孩子发生头部意外撞击时,家长应当采取哪些措施?陈女士的...
更新时间:2025-12-20 09:58:33
松果体区位于大脑几何中心深处,周围环绕重要神经血管结构。...
更新时间:2025-11-26 17:12:14
松果体区肿瘤虽然只占颅内肿瘤的不足1%,但其共病管理却极具挑...
更新时间:2025-11-12 15:19:25

Cases of Chinese Patients
Academic Visits
International Treatment