INC国际神经外科医生集团
当前位置:inc(INC) > 听神经瘤

脑垂体瘤

听性脑干检查准不准?可以查出

听性脑干检查准不准?可以查出

听性脑干检查即脑干听觉诱发反应(BAER)测试测量你的大脑如何处...

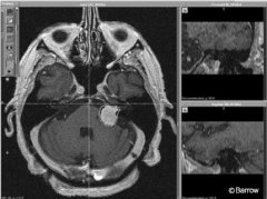
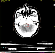
听神经瘤ct能查出来吗?如何切除

听神经瘤ct能查出来吗?如何切除

听神经瘤ct能查出来吗?计算机断层扫描在诊断听神经瘤中是有用...

听神经瘤好治吗?术后避免面瘫

听神经瘤好治吗?术后避免面瘫

听神经瘤,也称为前庭神经鞘瘤,是八脑神经的非恶性肿瘤。...

听神经瘤伽马刀还是手术?听神

听神经瘤伽马刀还是手术?听神

听神经肿瘤是发生在听神经的良性肿瘤,是发生在小脑桥角部的...

听神经瘤4厘米左右严重么?

听神经瘤4厘米左右严重么?

听神经瘤,也称为前庭神经鞘瘤,是连接耳朵和大脑的前庭耳蜗...

听神经瘤复发吗?手术及放化疗

听神经瘤复发吗?手术及放化疗

听神经瘤,也叫前庭神经鞘瘤,是一种良性肿瘤,起源于从内耳...

听神经瘤术后恢复周期

听神经瘤术后恢复周期

听神经瘤术后恢复周期长吗?听神经瘤手术切除后的成功恢复取...

听神经瘤3cm大吗?听神经瘤术后

听神经瘤3cm大吗?听神经瘤术后

听神经瘤是一种颅内肿瘤,起源于八脑神经,称为前庭蜗神经...

听神经瘤恢复需要多长时间&

听神经瘤恢复需要多长时间&

听神经瘤是一种生长缓慢的肿瘤,发生在听神经内孔或脑桥小脑...

听神经瘤术后后遗症有哪些?

听神经瘤术后后遗症有哪些?

听神经瘤是一种少见的非癌性肿瘤。它由雪旺细胞的过度繁殖而...

神经外科治疗

照片/视频云集

神外历史

神外历史

Neurosurgical History

学术访问

学术访问

Academic Visits

国际治疗

国际治疗

International Treatment