持续三周的面部疼痛,最终检查结果竟指向听神经瘤?患者并无外伤史,也无牙痛症状,然而面部却出现电击样剧烈疼痛,导致进食与饮水均感困难。令人意想不到的是,这种持续且剧烈的面部疼痛,实为隐匿于大脑深处的听神经瘤所发出的警报信号。
病例回顾:20岁青年面部疼痛三周之谜
20岁青年小安,其右侧面部疼痛症状已持续三周。疼痛范围自右侧耳部起始,延伸至下颌及右侧半舌。剧烈的疼痛感已严重影响其基本生活,导致进食与吞咽功能出现障碍。
患者遂前往耳鼻喉科急诊就诊。接诊医生为其进行了全面的体格检查,内容涵盖颅神经功能评估、角膜反射检查、听力测试、前庭功能检查以及纤维内窥镜检查。然而,上述所有检查结果均未发现明确异常,常规血液学检查亦无特殊发现。疼痛的病因一时成谜。
鉴于患者症状持续存在且病因不明,医生决定进行影像学检查以进一步探查。计算机断层扫描与更为精确的磁共振成像结果,最终揭示了病因:患者右侧小脑脑桥角区存在一占位性病变,且该病变明确压迫了三叉神经。影像学特征高度提示为听神经瘤。

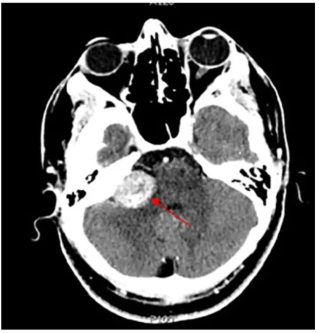
增强CT扫描图像显示,右侧桥小脑角区存在一大小约2.3厘米的边界清晰轴外肿块,该肿块呈现明显强化,并向右侧内听道内延伸,影像学表现符合右侧听神经鞘瘤(图中红色箭头指示)。
由于肿瘤位置关键且已产生明确的神经压迫症状,患者被转诊至上级医疗中心。经过为期八个月的临床观察,随访影像学扫描显示肿瘤增大了3毫米,证实其具有进展性。考虑到患者年龄较轻、临床症状严重且肿瘤持续生长,多学科诊疗团队经讨论后,建议采取手术治疗方案。

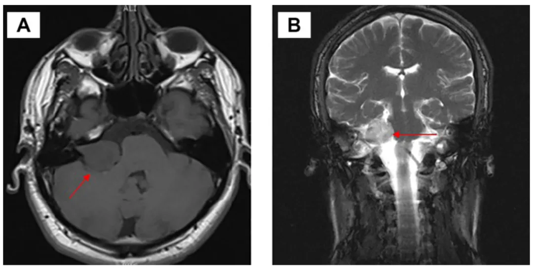
磁共振成像(A)轴位面与(B)冠状位面图像显示,右侧前庭神经鞘瘤主要位于右侧桥小脑角区,并向内听道内延伸。扫描可见肿瘤对右侧三叉神经构成明显压迫,并对脑干产生轻微压迫(图中红色箭头指示)。
最终,神经外科与耳科团队协作,通过经迷路手术入路为患者实施了肿瘤次全切除术。术后病理学检查结果确诊为神经鞘瘤,属于最为常见的WHO 1级。值得庆幸的是,后续基因检测排除了与2型神经纤维瘤病相关的可能性。术后一年的磁共振成像复查显示,残留病灶保持稳定,未见进一步生长。
听神经瘤的典型临床症状解析
听神经瘤,其学术名称为前庭神经鞘瘤,是一种起源于内听道前庭神经鞘膜细胞的良性肿瘤。其最为常见的早期症状确实与听觉及前庭功能密切相关,主要包括单侧或非对称性耳鸣、进行性听力下降、眩晕或平衡功能障碍。这是因为该肿瘤最常生长的部位——小脑脑桥角区,紧邻听神经与前庭神经。

本例患者表现为剧烈面部疼痛的机制探讨
那么,为何本例患者会以剧烈的面部疼痛为主要表现?答案在于肿瘤的具体生长方向及其所压迫的神经结构。小脑脑桥角区是神经血管高度密集的“交通枢纽”,除了听神经与前庭神经,负责面部感觉(包括痛觉、温觉、触觉)的主要神经——三叉神经也从此处经过。
压迫机制:本例患者的肿瘤生长位置,恰好压迫到了三叉神经的根部。这种直接的机械性压迫与刺激,导致了典型的神经病理性疼痛。患者所描述的“电击样、刀割样”疼痛,正是三叉神经受激惹的经典特征,其在医学上的表现可与原发性三叉神经痛非常相似。
疼痛性质:相关文献指出,此类疼痛是神经受压迫的直接后果,其严重程度常随着肿瘤的缓慢增大而呈现进行性加重趋势。
本病例报告的作者特别强调,其临床重要性并不在于疾病本身多么罕见,而在于这种表现模式对广大患者与临床医生的警示意义:对于单侧的、顽固性的、性质特殊(例如电击样、针刺样)的面部疼痛,尤其是当常规的眼、耳、鼻、喉、口腔科检查均无法找到合理解释时,临床医生与患者本人都应保持高度警惕。
头部影像学检查,特别是磁共振成像,是排除小脑脑桥角区及其他颅内器质性病变(例如肿瘤、血管压迫)的“金标准”检查手段。及时的影像学筛查,是避免误诊、把握最佳治疗时机的关键步骤。
本文内容改编自学术论文《Vestibular schwannoma presenting with unilateral facial pain in a 20-year-old patient》,已进行科普化处理,供学术交流与健康知识传播参考。

胶质瘤
垂体瘤
脑膜瘤
脑血管瘤
听神经瘤
脊索瘤

沪公网安备31010902002694号