"你属于幸运的情况,能够在此阶段发现颅内肿瘤。"33岁的申先生在两个月前的体检中偶然发现颅内占位性病变,临床怀疑为低级别胶质瘤,但患者并未表现出明显的临床症状。
该肿瘤类似于尚未发育成熟的幼虫,处于潜伏状态,具有良性特征、体积较小、尚未出现明显生长或恶变迹象。因此,部分建议提出:"或许可以考虑先采取保守观察策略……"然而,申先生最终作出了自己的治疗决定。
一个多月后,申先生在家人陪同下前往北京天坛医院接受了开颅手术。
"手术干预应该尽快实施。因为在这种情况下,肿瘤不会维持现有状态。它会持续扩张增大,而肿瘤体积越大,手术难度就相应增加。更重要的是,这类肿瘤可能随时发生基因突变,转化为高级别恶性肿瘤。"
作为本次手术的主刀医师,巴特朗菲教授在术前评估阶段就已明确告知相关风险,这番话也成为申先生一家选择手术治疗的重要因素之一。当幸运再次降临,术后申先生确认自己的决策完全正确。
手术过程顺利,肿瘤实现全切。申先生术后无需进入ICU监护,当天即恢复意识,肢体活动功能正常。"没有任何不良消息,所有结果都是积极的!"巴教授向申先生的妻子竖起大拇指表示赞许。
申先生果断的决策发挥了关键作用,他没有等待肿瘤发展为难以处理的"巨大病灶",而是及时采取干预措施,从而成功渡过治疗难关,有望实现高质量长期生存的预期目标。

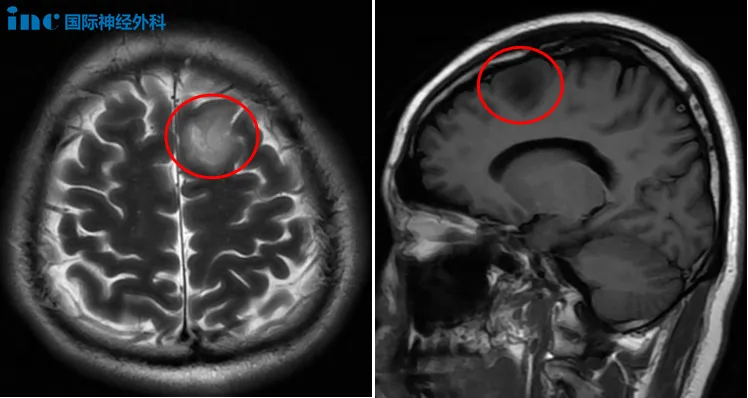
体检发现胶质瘤病灶
申先生刚步入而立之年,拥有幸福的家庭生活,但这一切几乎被一次偶然发现所影响。常规体检中,他被告知存在"颅内占位性病变"。尽管自觉身体健康,没有任何不适症状,为明确诊断,他与妻子一同前往医院进行详细检查。头颅核磁共振显示左侧额叶存在大小约27×23mm的病灶,考虑为低级别胶质瘤。

两天后,进一步的头颅MRS检查结果证实了这一诊断。申先生全家顿时陷入困境,而要彻底解决这个问题并非易事,于是全家开始通过各种渠道寻求治疗方案。
"我追求术后高质量生活"
综合医生和病友的建议,申先生最终决定先咨询巴特朗菲教授。目前是否需要手术?是否可以先行活检?手术后可能出现哪些并发症?术后需要多长时间恢复正常生活和工作?这些成为申先生最关心的问题,巴教授都给予了详细解答。

术前,巴教授与申先生及其妻子进行了深入沟通:
(1)活检存在一定局限性。一方面操作本身具有风险,可能引发出血;另一方面活检属于诊断性程序,通常无法提供精确诊断。且活检本身对肿瘤不产生治疗作用。
(2)手术绝对必要,若非立即实施,也应尽快安排。因为在这种情况下肿瘤不会保持静止状态,会逐渐增大甚至恶化。
(3)肿瘤全切是我的手术目标。
(4)术后数周内恢复正常生活是可能实现的。当肿瘤完全切除时,复发概率非常低。
巴教授的解答给予了申先生一家手术的信心,另一个促使申先生决定手术的重要因素是肿瘤位于"辅助运动区"(SMA),该区域负责传递运动指令。如果任由肿瘤增大或恶化,手术难度将显著增加,术后极易出现运动功能障碍,这与申先生对生活质量的追求完全不符。
"我期望术后获得高质量生活!"为实现这一目标,申先生最终决定:立即进行手术!
术后恢复全部为积极消息
手术按计划进行,本次手术由巴特朗菲教授主刀,与北京天坛医院神经外科团队协同合作,为申先生实施肿瘤切除手术。术中发现肿瘤质地与周围正常脑组织极为相似,难以区分,但凭借教授丰富的临床经验和技术水平,在神经导航、神经电生理监测及超声设备的辅助下,最终成功实现肿瘤全切。
走出手术室时,巴教授微笑着向申先生家属竖起大拇指,并表示:"没有任何不利消息,所有结果都是积极的。"术后申先生无需进入ICU监护,当天即恢复意识,肢体活动正常,所有指标均显示其状态良好,这也让陪同的妻子放下心来。

至此,治疗难关已顺利渡过,前景明朗。


胶质瘤
垂体瘤
脑膜瘤
脑血管瘤
听神经瘤
脊索瘤

沪公网安备31010902002694号