“手术结束后,巴教授亲自告知我手术成功实现全切,那一刻我...
更新时间:2026-04-11 10:47:57
75%的儿童肿瘤体积减少率超过了95%,二次手术在减少肿瘤体积方...
更新时间:2026-04-07 18:31:25
一位33岁的青年企业家,正处于事业发展的黄金时期,却做出了提...
更新时间:2026-04-04 09:45:07
胶质瘤复发后的生存期究竟有多长?一名曾在19个月大时经历肿瘤...
更新时间:2026-03-28 21:24:49
辗转多家医院之后,小乐母子最终找到了Rutka教授。就在不久前,...
更新时间:2026-03-25 17:17:51
如今已经二十一岁的小磊正是随访工作队列中的一位关键参与者...
更新时间:2026-03-24 09:59:50
刚刚完成当天示范手术任务的INC国际神经外科权威专家巴特朗菲...
更新时间:2026-03-20 10:47:35
中脑顶盖胶质瘤有一个让人误判的特质:它确实可以在相当长的...
更新时间:2026-03-17 10:14:02
对于视神经胶质瘤患者而言,治疗目标不仅在于切除肿瘤,更在...
更新时间:2026-03-15 10:58:37
过早的身体发育背后,有一种需要引起高度警惕的可能性,正如...
更新时间:2026-03-12 10:11:59
肿瘤位于脑干关键区域、与神经纤维存在危险的毗邻关系、患儿...
更新时间:2026-03-11 10:37:49
头颅磁共振成像(MRI)发现:第四脑室下方-枕大孔区-上段颈椎椎...
更新时间:2026-03-06 10:22:35
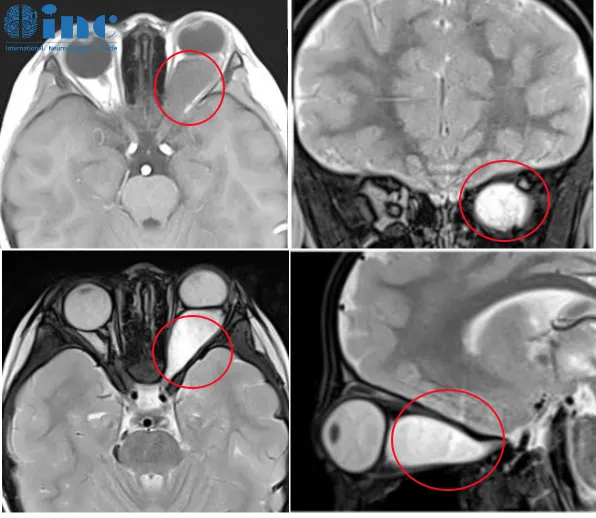
所谓的视力模糊,实则是这一巨大肿瘤对患儿双眼视神经压迫所...
更新时间:2026-03-06 09:48:46
医生表示,手术中发现实为视神经胶质瘤,若予以切除,孩子将...
更新时间:2026-03-01 10:07:07
最初误判为普通“面瘫”,最终却等来了“脑干胶质瘤”的诊断...
更新时间:2026-02-26 10:56:01

Cases of Chinese Patients
Academic Visits
International Treatment