术后失明风险存在,但并非必然结局。她为罹患胶质瘤的婴儿探索出一条生存路径:存在治愈可能性。
"肿瘤位置深在、患儿年龄过小、脑瘤体积巨大、手术风险极高,不仅全切率低,术后很可能失明。"小橘的母亲凝视不远处安睡的孩子,耳边回响医生的话语,悲痛再次袭来。这名刚满1岁的婴儿是全家人期盼已久的宝贝,但颅内巨大胶质瘤正无情地试图将她从父母身边夺走。

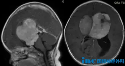
"首次看到孩子的MRI影像时,我感到震惊。"小橘母亲清晰记得那幅图像:巨大肿瘤占据婴儿狭小的颅腔。若不进行治疗,肿瘤将持续生长,最终压迫邻近脑组织,甚至危及生命。
尽管咨询了国内多位专家,但获得的回复基本一致。术后失明——刚满1岁的孩子能否承受这一结果?小橘母亲拒绝接受这一命运。既然国内找不到治疗方案,她将目光转向国外专家,开始了新一轮搜寻。最终在朋友推荐下,她找到几位国际知名的儿童神经外科专家。为获得综合全面的诊疗建议,她并未单独选择某位专家,而是同时咨询了三位权威教授,请求他们从各自专业领域出发,为孩子的后续治疗指明方向。经过深入沟通,小橘母亲获得了积极消息,这显著缓解了她的焦虑,同时增强了后续治疗的信心。

专家共识:全切手术有望实现高治愈率和良好预后

多位专家达成共识:患儿很可能患有鞍区视神经胶质瘤,通常属于低级别或良性肿瘤,且治愈率较高。对于此类低级别胶质瘤,完全彻底的手术切除是首选治疗方法,这对解除脑部局部压迫至关重要。但手术同样伴随风险,包括垂体功能不全、视力障碍和中风等。若能实现最大程度的安全切除,预后生存率将非常理想,不会干扰正常生活。后续需要持续随访并接受适当治疗,预期寿命可与普通人群相当。但对复发率的评估需根据肿瘤级别和性质确定。
手术治疗:切除率可达90%以上
作为治疗关键环节,手术切除率始终是小橘母亲关注的核心问题。她深知切除率越高,后续辅助治疗效果越好,不仅能降低复发风险,也能改善患儿预后。
对于视神经胶质瘤,巴特朗菲教授拥有丰富的临床经验。在既往案例中,曾有一位类似的小患者经巴教授实施近全切手术后成功回归正常生活。在"2023北京神经外科创新与发展国际研讨会、2023北京天坛医院神经外科中心学术大会"上,巴教授提出:早期对患者实施手术治疗效果显著。
巴教授评估认为:针对该患者,可实现90%乃至更高的切除率。全切/近全切可能性与良好功能结局相关。手术风险与肿瘤血管特征有关,因患儿年龄小、血容量有限,需要精细的麻醉管理、熟练的手术团队配合,以及术中磁共振成像系统(iMRI)、术中神经电生理监测、术中神经导航等高精尖设备提供支持。

辅助治疗:根据分子诊断结果进行化疗
对于小橘的后续治疗,INC三位国际儿科专家结合各自临床经验提出了不同建议。
鲁特卡教授建议:对肿瘤进行详细的分子遗传学和免疫组织化学检测,以确定其对化疗的敏感性。大多数此类低级别胶质瘤对化疗敏感,活性剂包括长春碱。目前存在更具针对性的治疗方法,取决于肿瘤是否存在BRAF融合异常或突变。化疗可能需要持续一整年,通常每月一个周期。若1年后仍有疑虑,可尝试更换化疗方案。

Di Rocco教授认为:辅助治疗基本以药物治疗为主(放疗应尽量推迟至婴儿能耐受的最小年龄后),应根据组织学和最终分子诊断结果进行选择。

巴教授指出:患儿年满6岁后可能考虑放疗。在此之前,化疗可能有益,这取决于术后残留肿瘤量。化疗可间歇性长期进行,以阻止肿瘤进一步生长,且无明显副作用。


胶质瘤
垂体瘤
脑膜瘤
脑血管瘤
听神经瘤
脊索瘤

沪公网安备31010902002694号