为何有的人手术后能够多年甚至十年没有复发?而有的却短期内...
更新时间:2026-04-11 22:26:56
为什么我的肿瘤已经这么大,还没有任何症状呢?答案很简单:...
更新时间:2026-04-05 09:15:48
有一种肿瘤,九成以上是良性,却让相当一部分患者在"不急"的等...
更新时间:2026-03-25 08:35:30
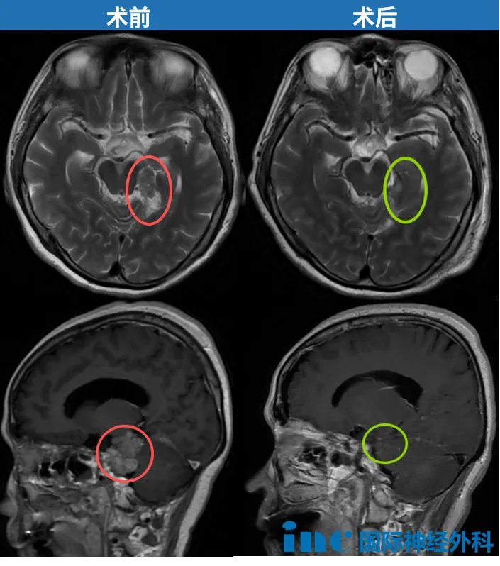
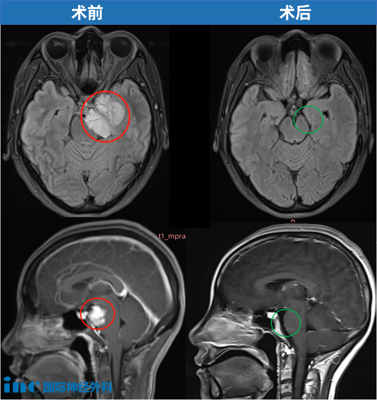
导致我痛苦的根源,是位于桥小脑角区的脑膜瘤。该肿瘤引发了...
更新时间:2026-03-05 11:42:25
这位患者在成功实现肿瘤全切除后,于术后第四日即顺利出院,...
更新时间:2026-02-28 09:21:59
“你这不像是做了开颅手术吧?!”术后恢复状况良好的患者小...
更新时间:2026-02-22 14:30:13
INC国际神经外科医生集团旗下世界神经外科顾问团(WANG)成员、...
更新时间:2026-02-22 13:38:36
“传统观念认为开颅手术需要在头颅上打开较大骨窗,但实际手...
更新时间:2026-02-12 20:52:25
患者入院约6小时后病情急剧恶化,在转诊至上级神经外科中心途...
更新时间:2026-01-30 14:50:58
术前计算机断层扫描(骨窗)显示蝶骨大翼、蝶骨小翼、前床突...
更新时间:2026-01-23 09:09:06
头痛是常见临床症状,但频繁发作时需警惕脑瘤可能性。脑肿瘤...
更新时间:2026-01-17 08:07:39
脑膜瘤在成人颅内肿瘤中占比约15%,通常表现为边界清晰、生长...
更新时间:2025-12-24 10:43:31
脑膜瘤作为最常见的轴外原发性脑肿瘤,约占所有颅内原发肿瘤...
更新时间:2025-11-29 20:52:20
病灶现已完全消失。影像学检查显示无肿瘤残留或复发迹象,所...
更新时间:2025-11-29 09:48:03
福教授指出,从两次MRI对比来看,肿瘤情况基本稳定,未见明显...
更新时间:2025-11-18 10:11:28

Cases of Chinese Patients
Academic Visits
International Treatment