38岁患者出现左侧眼部不适症状,自查发现眼球较右侧轻微突出。初期考虑休息不足或甲状腺功能亢进可能,经眼科检查显示眼压、眼底指标正常,予以眼药水对症处理。症状持续未缓解后,行头颅CT和MRI检查,确诊为轴外骨质增生性肿瘤,影像学表现符合蝶眶脑脑膜瘤特征。
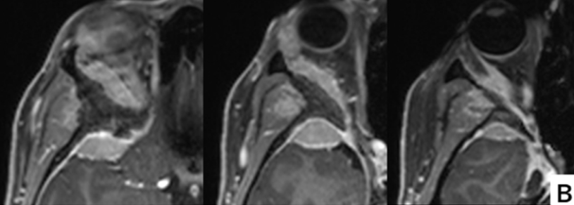
术前计算机断层扫描(骨窗)显示蝶骨大翼、蝶骨小翼、前床突及眼眶上壁、颞骨鳞部存在增生性改变。增强MRI检查可见蝶眶脑膜瘤从眶上壁延伸至外侧眶壁及眶周区域,颞极硬膜和颞肌受浸润,眼眶受压导致眼球突出征象。


治疗决策与手术方案
初诊医生建议采取保守观察策略,患者严格规避含孕激素药物,保持规律生活习惯。一年后复查显示肿瘤体积显著增大,伴随眼眶周围胀痛和眼球突出症状加重。经评估决定采取手术治疗。
INC法国福洛里希教授指出,现代颅底手术需掌握多种手术入路技术,包括经典显微镜下开颅、内镜下经鼻入路和内镜辅助显微镜入路。针对该病例,最终选择经眉切口入路手术方案。
手术操作细节
全麻状态下,福洛里希教授主刀实施手术。沿右侧眉毛弧度作月牙形切口,通过显微镜经此切口完成肿瘤切除。术中使用神经内镜进行术腔探查确认无肿瘤残留。取患者腹部脂肪组织填充术区,避免使用人工材料,采用微型钢板和螺钉进行颅骨固定。术后CT证实脑膜瘤及反应性增生骨质完全切除。

术后恢复与疗效评估
术后第5天切口愈合良好,外观无可见疤痕。术后第6天患者出院,眼球突出症状完全缓解。随访显示手术效果显著,患者对治疗效果满意。


医学技术发展对比
与古代开颅手术相比,现代神经外科借助影像导航、高倍显微镜和精密器械,已进入精准微创治疗时代。该案例充分体现了微创手术技术在脑肿瘤治疗中的优势。

胶质瘤
垂体瘤
脑膜瘤
脑血管瘤
听神经瘤
脊索瘤

沪公网安备31010902002694号