INC国际神经外科医生集团旗下世界神经外科顾问团(WANG)成员Takeshi Kawase教授等发表研究论文《Recovery of Audition After Favorable Resection of Vagal Schwannoma—Two Case Reports—》(迷走神经鞘瘤成功切除后听力恢复——两例病例报告),分享迷走神经鞘瘤导致听力丧失、术后获得功能恢复的临床案例。

迷走神经鞘瘤属于临床罕见病例,大型迷走神经鞘瘤常同时累及低位颅神经(第IX-XI对)及相邻的听神经、面神经和舌下神经。颈静脉孔区神经鞘瘤最常见相关症状包括吞咽困难、声音嘶哑、构音障碍和听力受损。手术干预可改善这些症状,但可能导致新发术后并发症。本案例为罕见以听力丧失为主要临床表现、术后听力获得有效恢复的迷走神经鞘瘤病例。

病例详情
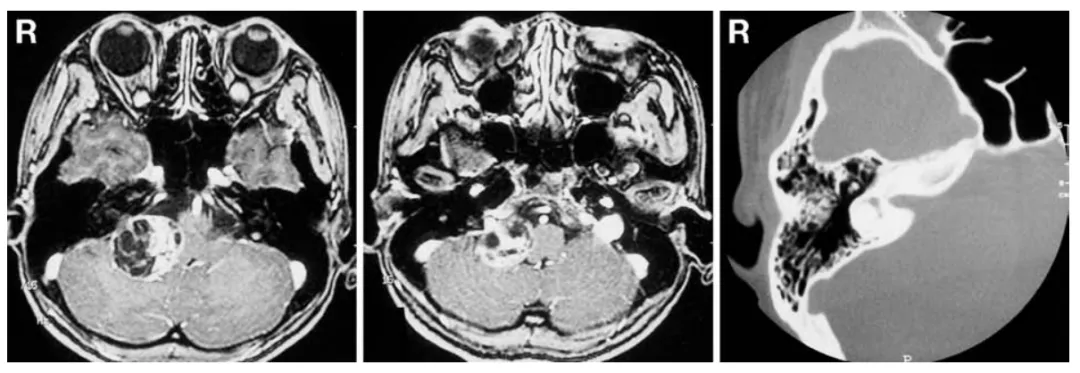
29岁女性患者小葵因听力丧失就诊,无其他神经功能缺损表现。初次磁共振成像检查显示右侧桥小脑角区存在直径3.5厘米囊实性强化占位病变,压迫脑干结构,但未明显侵犯内耳道或颈静脉孔(图1左、中)。骨窗计算机断层扫描检查显示内耳道无明显扩张(图1右)。

图1:术前轴位增强T1加权磁共振成像(左、中)显示右侧桥小脑角区占位性病变,未明显侵犯颈静脉孔。术前骨窗计算机断层扫描(右)显示内耳道无明显扩张。
术前纯音听阈测定显示右耳感音神经性聋(图2左),听觉脑干反应测试提示右耳听觉反应未见I至V波。
![图2 术前纯音听力图(左)显示感音神经性耳聋。术后1周纯音听力图(右)证实有效听力恢复。 和 × 分别表示右耳和左耳气导听力,] 表示右耳骨导听力。](https://www.incsg.com/uploads/allimg/251115/3-251115140530430.jpg)
图2:术前纯音听力图(左)显示感音神经性耳聋。术后1周纯音听力图(右)证实有效听力恢复。符号标注:右耳气导听力、左耳气导听力、右耳骨导听力。
手术治疗过程
经右侧枕下乙状窦后入路手术探查发现,肿瘤体积较大,已侵入内耳道及颈静脉孔区域,但除迷走神经根丝附着处外,蛛网膜完整包裹肿瘤。肿瘤切除过程顺利,实现全切后,面神经至副神经(第VII-XI对脑神经)以及肿瘤起源处的一小束迷走神经得以完整保留。术后组织学诊断为神经鞘瘤,肿瘤MIB-1指数为5.1%。
术后恢复情况
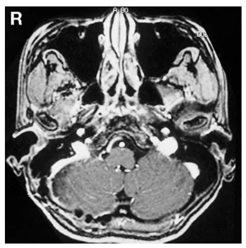
幸运的是,患者小葵在出院前实用听力已恢复。术后1周纯音听阈测定证实其听力恢复(图2右)。术后8个月磁共振成像复查显示未见肿瘤复发(图3)。

图3:术后8个月轴位增强T1加权磁共振成像显示肿瘤无复发。
案例讨论分析
患者肿瘤属于硬膜内型神经鞘瘤。硬膜内型神经鞘瘤最常见初始症状为听力障碍,系肿瘤压迫听神经所致。颈静脉孔区神经鞘瘤切除术旨在预防新发并发症并改善原有神经功能缺损,但激进切除常导致新症状出现。虽有文献报道颈静脉孔区肿瘤切除术后可获得听力恢复,但亦有患者遭受术后并发症困扰。
肿瘤与完好听神经之间的蛛网膜均得以保留,这是肿瘤切除后有效解除听神经受压的关键因素。成功的手术不仅能改善听力障碍,还可预防其他并发症,从而有望显著提升患者生活质量。

胶质瘤
垂体瘤
脑膜瘤
脑血管瘤
听神经瘤
脊索瘤

沪公网安备31010902002694号