在神经外科的临床实践中,听神经瘤(又称前庭神经鞘瘤)一向被视为良性病变的代表,其特点是进展缓慢、预后良好,很少令人担忧。
但有一类特殊病例,却深刻挑战了这一固有认知——当一位患者在十年间经历了两次手术和一次放射外科治疗后,肿瘤不仅未受控制,反而恶性转化为恶性周围神经鞘肿瘤(MPNST),这一罕见的病程转变,促使临床医学界重新审视现行"标准治疗"方案所潜藏的长期风险。
从首次发病到恶性进展,经历了什么?
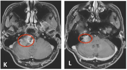
患者为54岁男性,右利手,家族中无神经纤维瘤病史。2003年,他开始出现右侧听力进行性下降及眩晕,纯音听阈检测显示右耳听阈58.5dB,符合单侧听神经功能受损的典型表现。影像学检查提示右侧桥小脑角区存在占位性病变,肿瘤已侵入内耳道,影像特征与前庭神经鞘瘤相符。
2004年5月,患者在外院接受了右侧乙状窦后入路肿瘤切除手术。术中发现肿瘤质地坚硬、血供较为丰富,与周围组织粘连紧密,因此仅完成了次全切除。术后病理诊断证实为良性前庭神经鞘瘤。

多次干预为何仍无法阻止病情进展?
2005年8月,为控制残余肿瘤的继续生长,患者接受了伽玛刀放射外科治疗,边缘照射剂量为10Gy(50%等剂量线)。这一方案在当时属于国际上通行的处理策略,对于残留或复发的小型听神经瘤,放射外科治疗被普遍认为是低风险、高效的控制手段。

然而,2007年5月,影像学检查提示残留病灶出现进展,患者随即接受第二次手术切除。术中发现肿瘤与面神经、听神经以及后组颅神经存在严重粘连,蛛网膜间隙消失,最终仍只能完成次全切除。术后病理依然报告为良性前庭神经鞘瘤。
此后长达6年时间,患者坚持每半年进行一次MRI随访,残余肿瘤体积保持稳定。直至2013年11月,常规随访影像显示肿瘤重新出现生长迹象。2014年4月,患者出现进行性头痛、眩晕、恶心等症状,影像学证实肿瘤体积明显增大,并伴有脑干受压表现。



第三次手术揭开恶变真相
2014年6月,患者接受第三次乙状窦后入路肿瘤切除术。术中所见具有鲜明的双相特征:一部分肿瘤质地柔软,切除相对顺利;另一部分则质地坚韧、富含纤维组织,与面神经、听神经及后组颅神经界限模糊,蛛网膜间隙完全消失。术中在安全范围内尽量切除,仍为次全切除。

术后病理结果彻底推翻了此前的诊断:肿瘤组织呈现出恶性特征,最终确诊为恶性周围神经鞘肿瘤(MPNST),并伴有腺样分化成分。这是前两次病理检查均未发现的恶性转变。
长达122个月的"潜伏期"意味着什么?
本病例最值得关注的临床数据在于:从首次接受放射外科治疗(2005年)至恶性变被确诊(2014年),潜伏期长达122个月。这一时间跨度具有重要的临床提示意义——如此漫长的影像学稳定期,高度提示肿瘤在绝大部分病程中仍维持着良性的生物学行为,恶性转化发生于疾病的后期阶段。
放射线诱发恶性肿瘤的确切机制目前尚不完全清晰,学界普遍认为涉及两类效应:有剂量阈值的确定性效应,以及无阈值的随机效应(即致癌作用)。伽玛刀等适形放疗技术能够将高剂量精准投照至肿瘤靶区,降低周围正常组织的受照剂量,从而减少确定性效应带来的风险;但随机效应——也就是潜在的致癌风险——并不能因此完全消除。本例中,单次高剂量照射后长达十年的潜伏期,其时间模式更符合随机效应的典型特征。
值得注意的是,本例患者的MIB-1指数为4%,该Ki-67增殖活性指标显著高于典型良性前庭神经鞘瘤的正常范围(通常低于2%),可以作为评估肿瘤再生长风险及潜在恶变倾向的参考依据。已有研究证实,MIB-1指数超过2%与肿瘤倍增时间之间存在显著的负相关关系。
临床小结
本病例以十年完整病程、三次手术操作、三次病理验证所构成的严谨证据链,证实了前庭神经鞘瘤在放射外科治疗后发生恶性转变的罕见可能性。尽管这类事件的发生率极低(目前文献仅有个案报道),但一旦发生,预后往往十分凶险,值得临床高度警惕。
在听神经瘤的治疗决策体系中,首次干预方案的选择至关重要。现代神经外科显微技术已能够实现在最小化手术创伤的前提下最大程度地保留神经功能,对于具备切除条件的肿瘤,手术治疗仍应作为首选的干预策略。如何在肿瘤控制与功能保全之间寻求合理平衡,始终是这一疾病领域临床决策的核心命题。

胶质瘤
垂体瘤
脑膜瘤
脑血管瘤
听神经瘤
脊索瘤

沪公网安备31010902002694号