James T. Rutka(鲁特卡)教授曾担任世界神经外科学院院长,现任神经外科专业期刊《Journal of Neurosurgery》主编。三十余年来,他专注于小儿神经外科领域,带领团队在脑瘤分子分型、精准治疗、创新药物及微创技术等方面取得多项突破,为全球疑难病症患儿提供新的治疗希望。其近期发表的研究《Intracerebral malignant peripheral nerve sheath tumor in a child with neurofibromatosis Type 1 and middle cerebral artery aneurysm treated with endovascular coil embolization》,报道了一例NF1患儿合并颅内恶性周围神经鞘瘤与大脑中动脉动脉瘤破裂,并接受血管内弹簧圈栓塞治疗的罕见病例。以下为该研究的主要内容概述。
研究概述
在Ⅰ型神经纤维瘤病(neurofibromatosis type 1, NF1)患者可能罹患的肿瘤性疾病中,恶性周围神经鞘瘤(malignant peripheral nerve sheath tumors, MPNSTs)属于较为常见的类型,多起源于四肢、躯干以及腰丛或臂丛等周围神经部位。电离辐射是MPNST发生的明确危险因素,尤其对于NF1等遗传易感人群。此外,NF1患者亦存在较高的颅内动脉瘤发生风险,而随着血管内治疗技术的进步,该类疾病的治疗成功率已显著提高。
本研究报告一例9岁女性患儿,既往体健,因右额叶颅内出血危重入院,病因诊断为右侧大脑中动脉(MCA)三分叉处动脉瘤破裂。急诊行去骨瓣减压术后,对MCA动脉瘤施行了血管内弹簧圈栓塞治疗,手术过程顺利。因患儿母亲有NF1病史,后续基因检测证实该患儿NF1阳性。
患儿术后恢复良好,然而在术后14个月复查MRI及MRA时,发现右侧MCA三分叉区域出现巨大额颞部肿块,包绕MCA三分叉。随后进行额颞开颅肿瘤次全切除术,术后病理确诊为颅内MPNST。患儿接受化疗及局部放疗,术后6个月随访显示生存状态稳定。
据作者所知,此为迄今(截至论文发表时)唯一报道的在经血管内弹簧圈栓塞治疗的颅内动脉瘤区域内继发颅内肿瘤的病例。尽管NF1患者属于辐射诱发肿瘤的遗传易感人群,但颅内MPNST的具体发病机制仍有待进一步研究。

图1. A:头颅CT平扫显示右额叶出血,侧裂池内可见高密度蛛网膜下腔出血;B:右侧颈内动脉造影斜位片提示大脑中动脉(MCA)三分叉处存在一直径5毫米的动脉瘤;C:右侧颈内动脉造影斜位片显示MCA动脉瘤经血管内弹簧圈栓塞术后状态。
表1:已报道儿童颅内恶性周围神经鞘瘤(MPNST)病例的临床特征汇总。

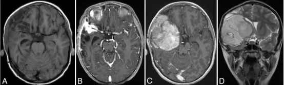
图2. A:弹簧圈栓塞术后1.5个月轴位T1加权平扫MRI,显示右额叶残余出血灶周围脑组织软化;B:术后11个月轴位T1加权增强MRI,显示右侧外侧裂区一2.3×2.7×1.8厘米(前后径×横径×头尾径)明显强化软组织肿块,包绕MCA三分叉并累及邻近硬脑膜;C、D:术后13个月轴位T1增强(C)与冠状位T2加权(D)MRI,提示肿块增大至8×7.2×7厘米,包绕大脑中动脉,侵犯前、中颅窝,伴占位效应、中线移位及硬脑膜受侵;E:右侧颈内动脉造影右前斜位片,见MCA远端M1、M2分支变细及肿瘤染色;F:右侧颈内动脉造影动脉期斜位片,显示动脉瘤部位弹簧圈移位。


图3. 上:病理切片(H&E染色,×30)显示肿瘤细胞密集,呈上皮样与梭形细胞双向分化,束状排列;下:S100蛋白免疫组化染色(×200)呈弥漫阳性。


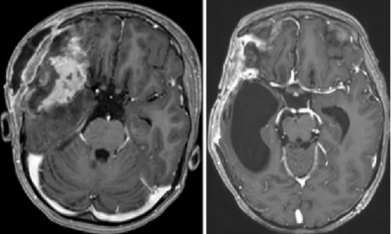
图4. 左:开颅术后第1天轴位T1增强MRI,显示肿瘤次全切除术后改变及周围脑软化;右:术后3个月轴位T1增强MRI,见侧裂远端肿瘤残留,右侧颞角扩大,已行脑室-腹腔分流术。

作者简介

James T. Rutka教授作为INC国际神经外科医生集团成员,持续推动小儿神经外科的学术发展与临床实践创新。

胶质瘤
垂体瘤
脑膜瘤
脑血管瘤
听神经瘤
脊索瘤

沪公网安备31010902002694号