INC国际神经外科医生集团
当前位置:inc(INC) > 儿童胶质瘤

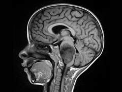
[脑干胶质瘤案例]5岁宝宝脑干延

[脑干胶质瘤案例]5岁宝宝脑干延

5岁宝宝脑干延髓区占位性病变案例,来自德国的巴特朗菲教授在...

儿童神经胶质瘤病因是什么?恶

儿童神经胶质瘤病因是什么?恶

儿童高级别神经胶质瘤很可能起源于与成人不同的细胞遗传学和...

儿童高级别脑胶质瘤能治好吗?

儿童高级别脑胶质瘤能治好吗?

高级别胶质瘤好发于成人,少见与儿童,但却会导致的儿童...

脑胶质瘤的发病原因?揭秘儿童

脑胶质瘤的发病原因?揭秘儿童

目前较为广泛接受的成年人脑胶质瘤诱发因素是基因突变与接受...

儿童丘脑胶质瘤的早期症状?儿

儿童丘脑胶质瘤的早期症状?儿

儿童丘脑胶质瘤的早期症状?儿童罹患丘脑胶质瘤怎么办?手术...

儿童脑干胶质瘤放疗效果好吗?

儿童脑干胶质瘤放疗效果好吗?

脑干胶质瘤约占全部后颅窝肿瘤的25%,较常见于7至9岁的儿童。没...

儿童胶质瘤可以治愈吗?

儿童胶质瘤可以治愈吗?

神经胶质瘤包括全部原发性脑肿瘤源自神经上皮神经胶质细胞(包...

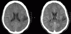
脑干胶质瘤治愈率

脑干胶质瘤治愈率

脑干神经胶质瘤是一种发生在脑干的肿瘤。它较常见于20岁以下的...

6岁脊髓-脑干胶质瘤女孩“劫后重

6岁脊髓-脑干胶质瘤女孩“劫后重

我们热爱生活,我们尊重生命,我们努力地过活,这是我们来人...

儿童高级别胶质瘤的外科治疗及

儿童高级别胶质瘤的外科治疗及

越来越多的证据表明,儿童高级别胶质瘤表现出与成人患者明显...

神经外科治疗

照片/视频云集

神外历史

神外历史

Neurosurgical History

学术访问

学术访问

Academic Visits

国际治疗

国际治疗

International Treatment