INC国际神经外科医生集团
当前位置:inc(INC) > 脑积水

髓母细胞瘤能治吗?

髓母细胞瘤能治吗?

髓母细胞瘤能治吗?脑肿瘤是儿童时期常见的实体瘤恶性肿瘤,...

成人脑积水什么情况下需手术

成人脑积水什么情况下需手术

成人脑积水什么情况下需手术?手术方法的选择,需要根据病...

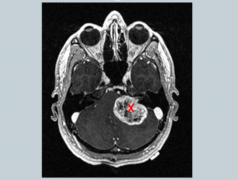
听神经瘤4厘米左右严重么?

听神经瘤4厘米左右严重么?

听神经瘤,也称为前庭神经鞘瘤,是连接耳朵和大脑的前庭耳蜗...

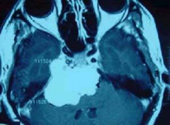
听神经瘤术后后遗症有哪些?

听神经瘤术后后遗症有哪些?

听神经瘤是一种少见的非癌性肿瘤。它由雪旺细胞的过度繁殖而...

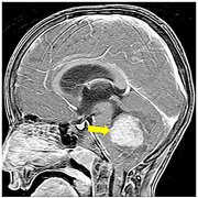
脑积水能治好吗?不治疗会怎样

脑积水能治好吗?不治疗会怎样

脑积水,顾名思义就是指脑中的水,只不过这个水并不是真的水...

什么是脑积水?宝宝脑积水如何

什么是脑积水?宝宝脑积水如何

颅内蛛网膜下腔或脑室内的脑脊液异常积聚,使其一部分或全部...

治疗“大头娃娃”脑积水,国际

治疗“大头娃娃”脑积水,国际

3岁,本该是无忧无虑的年纪。但对于3岁女孩涵涵来说,陪伴她的...

小儿髓母细胞瘤能治好吗?预后

小儿髓母细胞瘤能治好吗?预后

髓母细胞瘤一词较早由贝利和库欣于1925年提出,指儿童时期常见...

儿童室管膜瘤复发吗?手术效果

儿童室管膜瘤复发吗?手术效果

室管膜瘤(ependymoma)以青少年多见,约占颅内肿瘤的8%。男性多...

少见的脑和脊髓室管膜瘤如何治

少见的脑和脊髓室管膜瘤如何治

室管膜瘤是一种原发性肿瘤,这意味着它始于大脑或脊柱。大脑...

神经外科治疗

照片/视频云集

神外历史

神外历史

Neurosurgical History

学术访问

学术访问

Academic Visits

国际治疗

国际治疗

International Treatment