INC国际神经外科医生集团
当前位置:inc(INC) > 脑积水

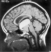
【脑积水百科】什么是脑积水

【脑积水百科】什么是脑积水

脑积水 ,是一种大脑和脊髓周围有额外的脑脊液的情况。脑脊液...

小儿脑积水怎么治疗?

小儿脑积水怎么治疗?

脑积水是一种过多的脑脊液留在脑腔中,导致大脑和颅骨肿胀的...

颅咽管瘤术后并发症有哪些?如

颅咽管瘤术后并发症有哪些?如

颅咽癌占儿童全部颅内肿瘤的10%。这种肿瘤也出现在老年人群中...

儿童髓母细胞瘤术后常见问题解

儿童髓母细胞瘤术后常见问题解

髓母细胞瘤手术的目标是在不损伤附近健康组织的情况下切除尽...

脑膜瘤为何会出现脑水肿?

脑膜瘤为何会出现脑水肿?

脑膜瘤 占全部原发性脑瘤的30%以上。众所周知,女性和男性之间...

什么是脑积水?脑积水如何提前

什么是脑积水?脑积水如何提前

在产前发育过程中,大脑从管状结构开始。随着它的生长,内管...

听神经瘤7大症状详细解读

听神经瘤7大症状详细解读

听神经瘤 的诊断通常是由患者的症状触发的。听神经瘤较常见的...

儿童脑积水的健康状况如何测量

儿童脑积水的健康状况如何测量

近年来,人们对于 儿童脑积水 的生活质量越来越看重,因为它会...

脑积水能治好吗?

脑积水能治好吗?

医学治疗脑积水是用来推迟手术干预。它可能用于早产儿出血性...

“大头娃娃”可能是病,头围过

“大头娃娃”可能是病,头围过

宝宝头大,一看就很聪明!出生三个月的豆豆因为头比较大,一...

神经外科治疗

照片/视频云集

神外历史

神外历史

Neurosurgical History

学术访问

学术访问

Academic Visits

国际治疗

国际治疗

International Treatment