“你的垂体瘤再次复发。”医生稍作停顿,“此次情况更为复杂,需要进行开颅手术。”
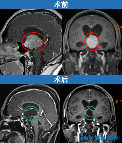
巨大垂体瘤案例分享
一位62岁女性患者,与垂体瘤抗争已达35年,曾因垂体瘤复发接受放射治疗。本次因复视症状随访检查,发现已发展为巨大垂体瘤。实施开颅手术后,术后影像显示肿瘤切除彻底。

Jefferson(20世纪40年代)对巨大垂体瘤进行了描述,报道显示鞍上广泛扩展的患者术后死亡率为35%。巨大垂体腺瘤定义为在任何方向上最大直径超过4厘米,或肿瘤体积估计大于等于10立方厘米的肿瘤。巨大垂体腺瘤占所有垂体腺瘤的5%-15%,占所有颅内肿瘤的0.5%。巨大垂体腺瘤常见症状包括视觉障碍、内分泌功能障碍以及由占位效应引起的神经压迫综合征。功能性垂体腺瘤可进行药物治疗,即使体积较大,但非功能性垂体瘤(不产生催乳素的肿瘤)需要手术干预。

上述案例来源于INC国际神经外科医生集团旗下世界神经外科顾问团(WANG)成员William T. Couldwell教授在INC神经外科学术交流年会上所作的关于“巨大垂体瘤手术细微差别”的学术演讲。

巨大垂体腺瘤手术切除难点
最大直径≥4厘米的巨大垂体大腺瘤属于复杂肿瘤,需要手术切除以实现视神经减压、缓解占位效应和改善症状。由于手术可及性缺乏、病变横向范围广泛以及海绵窦侵犯等因素,治疗管理面临重大挑战。

Couldwell教授演讲中展示部分巨大垂体瘤病例。目前巨大垂体瘤主要治疗方式为手术,目的在于最大程度切除肿瘤、改善神经功能障碍以及保留正常垂体功能。巨大垂体腺瘤术前根据影像学表现和临床症状,个体化选择合适手术入路,是成功切除肿瘤的关键。经蝶入路、经颅入路和联合入路是切除肿瘤的可行方法。
垂体瘤通常起源于鞍内,但若肿瘤巨大向颅内突破鞍隔孔,向颅内广泛发展,包绕颅内血管(特别是大脑中动脉、大脑前动脉、大脑后动脉及其重要分支血管),这种情况下通常选择经颅入路进行肿瘤切除。经颅垂体腺瘤切除术根据肿瘤生长方向位置可分为三种入路途径:经额入路、经硬脑膜外入路和经翼点入路。

对于单纯经颅入路,Couldwell教授总结了其优势与劣势。优势包括手术视野大、病灶暴露充分、操作空间较经蝶入路更大,对保护颅底重要结构具有重要意义,可移除鞍上神经释放视神经;劣势包括鞍内区域远距离可视化困难、需要脑组织收缩。

针对巨大垂体瘤何时需要开颅手术,Couldwell教授提出经颅入路适应症如下:经颅途径仍用于切除1%-4%的垂体大腺瘤;经蝶入路的直接可视化和可及性受限;鞍膈肌收缩;鞍旁延伸或不可触及的鞍上延伸远离中线;纤维致密性肿瘤伴大鞍上延伸;活动性鼻窦感染;邻近动脉瘤患者;扩张的鞍内颈动脉;脑组织侵犯;海绵窦侵犯引起的病变。

巨大垂体瘤是否必须开颅?
2025年6月,35岁江先生发现鞍区及鞍上巨大垂体瘤引发阻塞性脑积水。巨大肿瘤已压迫脑干、第三脑室及导水管。“手术风险太大,难度过高,建议你们前往其他医院就诊......”
坚持之下,他们迎来转机。无需开颅,INC福教授在北京天坛医院最终通过经鼻内镜手术成功切除这一巨大垂体瘤。术后2个月,患者已逐渐恢复正常生活。“目前状况良好,一切顺利,非常感谢福教授!”随访视频中,江先生一家幸福美满,脸上洋溢着喜悦。

点击阅读:“你可以去打球了!”中年遭遇巨大垂体瘤,在天坛医院不开颅成功“挖”瘤
为优化和规范巨大垂体瘤的手术管理,欧洲神经外科学会(EANS)颅底委员会成员与该领域国际专家组成的特别工作组就这些疑难肿瘤的手术管理制定共识声明与建议——《巨大垂体神经内分泌肿瘤的外科治疗:代表EANS颅底部门的荟萃分析和共识声明》(Surgical management of giant pituitary neuroendocrine tumors: Meta-analysis and consensus statement on behalf of the EANS skull base section),INC福洛里希教授为工作组成员之一。

该研究通过系统文献综述和荟萃分析,汇总2000年1月至2020年1月期间发表的文章,涉及1263例巨大垂体瘤患者。平均肿瘤直径为5.0±0.5厘米。50.5%的病例中,肿瘤为Knosp 3级或4级或术中证实侵犯海绵窦。针对巨大垂体神经内分泌肿瘤应如何治疗?有哪些具体建议?请点击阅读:全球1263例巨大垂体瘤手术研究—INC福教授联合欧洲神经外科大会荟萃分析

胶质瘤
垂体瘤
脑膜瘤
脑血管瘤
听神经瘤
脊索瘤

沪公网安备31010902002694号