向桥小脑角区延伸的后颅窝节细胞胶质瘤在临床上极为少见,加之肿瘤本身具有浸润性,所在区域神经血管解剖结构错综复杂,手术切除面临相当大的挑战。
病例经过
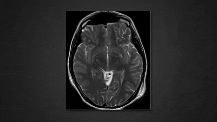
一名19岁的年轻女性以头痛为主诉就诊,影像学检查发现左侧小脑半球及桥小脑角区存在一枚肿瘤,测量大小约为五点三×四点零×三点五厘米。从影像上判断,肿瘤似乎起源于脑实质内部,并有明显的外生性生长趋势。病灶呈轻度强化,部分区域呈囊性改变,同时存在显著钙化。


神经系统查体方面,除左侧口咽部感觉轻度下降外,其余体征均完好。为达到肿瘤减容并明确组织学诊断,患者接受了左侧乙状窦后开颅手术;术中所见显示,肿瘤与第七至第十一对颅神经之间存在明显粘连。
第七至第十一对颅神经分别对应面神经、前庭蜗神经、舌咽神经、迷走神经和副神经,掌管面部表情、听觉、身体平衡、舌咽部的感觉与运动、内脏调节功能以及颈肩部分肌群的运动控制,对患者日常生活的质量影响深远。正因如此,不能以追求肿瘤全切为由,而对这些神经造成损伤。
术后病理结果证实为节细胞胶质瘤(WHO Ⅰ级)。这类肿瘤多为单发,进展缓慢,临床病程相对较长,整体倾向于良性表现。从治疗角度来看,手术完整切除通常能够取得较好的效果。然而,节细胞胶质瘤有一个不同于其他肿瘤的特点:它往往与邻近颅神经根或血管之间存在牢固粘连,这使得百分之百的全切在多数情况下难以实现。
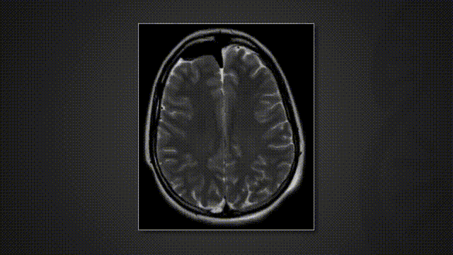
INC国际教授团队经多学科联合讨论后,决定在安全边界内实施二期最大程度切除。二期手术选择左侧远外侧入路开颅,联合C1半椎板切除,最终实现了残余肿瘤的完整切除。患者于术后第六天顺利出院,仅遗留轻度面部感觉异常,随访过程中逐渐恢复正常。术后及术后六个月的影像学复查均证实肿瘤全切,未见并发症。

术后影像
研究结论
对于罕见的低级别颅内肿瘤,采取分期手术策略、以组织学诊断为导向、在安全前提下尽量切除的综合方案,能够更好地兼顾患者的神经功能保护与肿瘤学治疗效果,从而实现预后的整体最优化。
案例来源:INC国际神经外科医生集团旗下组织世界神经外科顾问团(WANG)成员、世界神经外科学院前院长William T. Couldwell教授发表研究《 Staged and combined resection of a posterior fossa ganglioglioma 》。




胶质瘤
垂体瘤
脑膜瘤
脑血管瘤
听神经瘤
脊索瘤

沪公网安备31010902002694号