"今天感觉如何?"病房内,巴教授再次探访7岁的乐乐。小女孩微笑点头,略显腼腆地向教授致意。数日前,在巴教授来华学术交流期间,乐乐接受了开颅手术,成功切除小脑内巨大胶质瘤。术后第四天,患儿坐立行走功能完全恢复,精神状态良好。
儿童患者的恢复能力与其旺盛生命力相得益彰,常创造令人惊叹的医学奇迹。术前乐乐长期受睡眠障碍困扰,伴有持续性头晕头痛及精神萎靡。成功切除肿瘤后,患儿睡眠质量显著改善。
病房内陈列着各类玩具与彩色绘本,桌上摆放着乐乐亲手搭建的"小超市",这些元素共同构筑了充满童趣的康复环境,也将见证患儿的美好未来。

临床症状演变过程
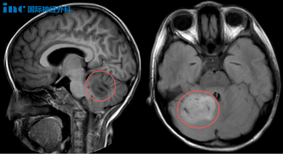
7岁患儿乐乐自出生以来长期存在睡眠障碍。夜间频繁惊醒、双下肢不自主运动,时而突发坐起后倾倒。今年9月,患儿向家长主诉日间头晕及乏力症状。次日因反复呕吐急诊就医,影像学检查发现小脑区巨大占位病变。
后续检查再次证实右侧小脑异常信号,初步诊断为低级别胶质瘤。同期血液检查提示胃肠型感冒,予对症药物治疗后头晕症状缓解。
尽管临床症状暂时改善,但颅内肿瘤持续存在威胁。面对患儿反复发作的头晕及活动能力下降,家长决定寻求更佳治疗方案。

专家治疗建议
小脑半球作为运动协调中枢,主导同侧肢体协调功能,确保动作精准性与平衡性。该区域受损时典型表现为共济失调、意向性震颤及站立行走困难。
此前会诊医生提示肿瘤与脑干可能存在粘连,手术难度较大。为争取更好预后,家长咨询巴教授意见并获得不同评估结果:"鉴于病灶体积,手术干预确有必要。即使是低级别肿瘤也存在恶变风险。虽然病变涉及小脑-脑干连接区域,但未侵犯脑干实质。虽然手术具有挑战性,但我能实现肿瘤切除的同时最大程度保留神经功能和生活质量。"

手术实施与预后
10月20日,由巴教授主刀,苏州大学附属儿童医院神经外科团队配合,应用术中导航及超声技术精确定位肿瘤边界,在神经电生理监测保障下顺利完成肿瘤切除术。术后病理证实为低级别胶质瘤,家属忧虑得以缓解。
术后次日查房显示患儿恢复良好,可在病床阅读绘本。家长欣慰表示状态理想。巴教授确认患儿手部活动正常,建议早期下床活动。

术后第四天评估显示,患儿已完全恢复独立行走能力,指鼻试验准确,表明运动功能恢复正常。复诊时患儿主动向教授挥手致意,病房内充满积极氛围。

目前患儿已康复出院,迈向全新的生活阶段。近期巴教授持续开展学术交流,为更多患者提供面对面诊疗机会。
案例来源:2025年巴特朗菲教授国内手术案例

胶质瘤
垂体瘤
脑膜瘤
脑血管瘤
听神经瘤
脊索瘤

沪公网安备31010902002694号