胶质瘤首次术后复发的阴影曾几乎将患者吞噬,当肿瘤从二级恶化为三级时,51岁的顾先生毅然选择迎难而上。
为避免重复放疗带来的痛苦,他最终接受巴特朗菲教授主刀手术,成功实现肿瘤全切且无并发症发生。过去五年间,每次体育锻炼与复查时的积极结果,都体现了他对生命的珍视。
术后第二年随访时,顾先生表示:"确诊后我认为患者必须了解病情真相,并以积极心态面对,才能战胜疾病。"他补充道:"目前身体状况良好,所有体检指标正常,每日坚持体育锻炼,偶尔适量饮酒。"提及巴教授的手术,他充满感激之情。镜头前的他神采飞扬,言行举止尽显从容。
术后第三年视频记录显示,顾先生身着飘逸练功服,熟练演示太极、八段锦、拳法等功法。动作流畅精准、刚柔并济,完全不见脑肿瘤的遗留影响。他确认所有体检结果正常,每日保持锻炼习惯,在感谢巴教授手术成功的同时,也肯定自己患病后的治疗决策。
术后第五年复查影像显示肿瘤无复发,患者已恢复正常生活与工作状态。

病情发展历程
二级胶质瘤术后四年复发恶化为三级巨大肿瘤
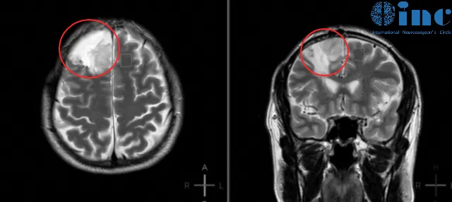
处于事业上升期的中年顾先生对健康问题高度重视。2014年因轻度面瘫就诊,影像学检查发现右额叶皮层区椭圆形肿块(尺寸约4.9cm×3.9cm×6.8cm),提示右侧额叶少突胶质细胞瘤可能。
确诊后不足一月,患者即在当地医院完成开颅手术。术后病理证实为右额少突胶质细胞瘤,WHO II级。术后每月服用替莫唑胺与丙戊酸钠片,持续六个月疗程。患者曾认为已成功摆脱脑肿瘤,但术后四年时(2018年)MRI复查提示复发可能。

初始认为此类脑肿瘤易于全切且不会复发,但MRI影像显示阴影后,患者意识到可能低估了肿瘤的复杂性。任何肿瘤要实现100%全切均非易事。复发肿瘤在术后四年快速进展,患者认识到放化疗仅属姑息治疗,要根治复发肿瘤并防止侵犯功能区,需尽快寻找具备丰富经验的手术医师。
再次手术的可行性分析
对于额叶、颞叶、枕叶区域的胶质瘤手术,要实现全切且避免复发仍具挑战。表浅位置胶质瘤在血性手术视野中常与正常脑组织分界不清,即使看似简单的手术,要达到精准切除(肿瘤完全清除、神经组织零损伤)、术后无并发症且生活质量不受影响,对主刀医师的技术经验及术中电生理监测要求极高。
巴教授成功实现肿瘤全切,无并发症发生,手术当日即转出ICU至普通病房,术后两周出院。术后病理报告显示IDH突变、1p/19q共缺失,WHO III级高级别间变性少突胶质细胞瘤(复发)。
首次手术后肿瘤不仅复发且分级进展,幸而患者坚持手术干预。若继续采用放化疗,肿瘤进一步恶化侵犯功能区后,手术难度将显著增加,全切可能性更低。

案例总结:额叶胶质瘤手术核心要点
额叶约占大脑体积三分之一,是重要的功能区域。其后部包含中央前回,控制对侧肢体运动功能。左侧额下回后部为语言中枢,主导语言功能。额叶前部调节思维、记忆及情感活动。深部基底节与丘脑结构与语言、运动及意识状态密切相关。

因此,额叶胶质瘤患者可出现头痛、偏瘫、癫痫发作、言语障碍、性格改变及意识水平变化等表现。手术效果的关键在于切除程度与功能保护,二者必须兼顾。
本案例中,初始低级别胶质瘤因首次手术未全切而进展为高级别,这一经历具有重要警示意义。相较于重要功能区病变,额叶、颞叶及枕叶等表浅位置胶质瘤的规范化手术治疗常被忽视。这些区域的低级别胶质瘤若实现全切,患者可获得长期高质量生存。但若因位置表浅而疏忽,一旦肿瘤进展侵犯功能区,全切难度将急剧增加,预后亦不理想。
综上所述,针对这些部位的胶质瘤手术,应在保障神经功能安全的前提下,力争实现肿瘤全切除。

胶质瘤
垂体瘤
脑膜瘤
脑血管瘤
听神经瘤
脊索瘤

沪公网安备31010902002694号