绝大多数脑瘤的治疗均以"首次手术全切"为主要目标,尤其对于良性肿瘤而言。那么,为何需强调"首次手术全切"?若脑瘤未完全切除可能导致何种后果?我们或能从患者小圭波折的治疗经历中找到答案。
与瘤共存或难逃复发
若无此脑瘤,小圭本应是一名积极阳光的青年。然而令人意想不到的是,他颅内的颅咽管瘤竟与其共存长达15年之久......多年前,年仅3岁的小圭因癫痫发作就医,随后被确诊为颅咽管瘤。同年,他接受了首次开颅手术,但术后出现右眼失明的并发症,仅存光感而无视觉功能。
一年半后,肿瘤复发,小圭不得不接受第二次开颅手术。此后,他的命运仿佛被"复发"魔咒笼罩:短短2年后,肿瘤再次复发。不敢再次开颅的小圭一家经过慎重考虑,最终选择伽马刀治疗。此后多年,肿瘤确实得到控制。
但在伽马刀治疗结束后,颅咽管瘤再次复发,小圭接受了第三次开颅手术。经历三次开颅手术和一次伽马刀治疗后,小圭的身体遭受重创,身高发育也受到影响,较同龄人明显偏矮,因此需使用生长激素促进生长。
年幼即承受如此巨大的病痛折磨,不仅让小圭本人痛苦,也给家人带来沉重负担。医院几乎成为他们的第二个家,手术室似乎成为这个小男孩的"常驻之地"。每次躺在冰冷的手术台上,他心中的希望都随之减少。然而肿瘤并未因此消退:术后2年,再次出现局部复发。
决心彻底根治
颅咽管瘤是一种令神经外科医生感到棘手的神经系统良性肿瘤。由于肿瘤位置深在,手术治疗极具挑战性。尽管放疗、化疗等恶性肿瘤治疗方法已被许多国家和地区列为颅咽管瘤的常规治疗方案,但仍无法避免其高复发率。
	
颅咽管瘤患者往往生存质量较差,无瘤长期生存率较低,这使颅咽管瘤成为具有恶性结果的良性肿瘤之一。小圭的肿瘤一再复发,很大程度上源于前几次手术的不彻底和未全切。对于颅咽管瘤而言,若手术能实现全切,复发率将显著降低。同时,必须保留神经垂体,确保患儿正常的生长发育。
此次,不堪复发折磨的小圭及家人决定彻底解决肿瘤问题。他们选择第四次手术,并找到巴特朗菲教授。巴教授评估后认为,由于肿瘤局部复发,仅靠放疗已无法彻底解决问题,必须再次手术以实现肿瘤全切,后续再进行质子治疗,这可能是当前更好的选择。
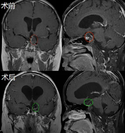
不久后,小圭一家前往德国接受手术治疗。巴特朗菲教授成功为他实施手术,在术中磁共振成像系统及术中神经导航的辅助下,肿瘤获得全切,且垂体柄得到最大程度保护。术后第二天,小圭即转出ICU,左眼视力未受新的损伤,神志完全清醒,对答流利。术后近半年MRI复查显示,无肿瘤进展及复发征象。
	
案例来源:巴教授2020年手术案例

 胶质瘤
胶质瘤 垂体瘤
垂体瘤 脑膜瘤
脑膜瘤 脑血管瘤
脑血管瘤 听神经瘤
听神经瘤 脊索瘤
脊索瘤

 
     
     
     沪公网安备31010902002694号
沪公网安备31010902002694号