松果体区肿瘤的典型临床表现包括梗阻性脑积水及相关颅内压增...
更新时间:2025-12-31 17:15:23
松果体区肿瘤的临床记载最早可追溯至1717年,但该区域的外科手...
更新时间:2025-11-27 10:56:02
日常工作注重效率与精确性,但近期持续遭受头痛与视力问题困...
更新时间:2025-11-23 10:31:30
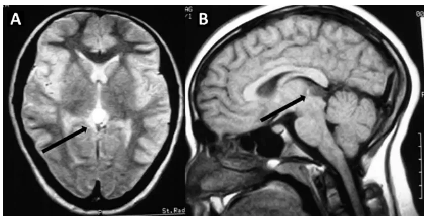
林林在10岁时被诊断出松果体区钙化病变。由于病变位置特殊且体...
更新时间:2025-10-26 08:51:55
在神经外科领域,松果体区一直被视为手术"禁区"。该区域位于大...
更新时间:2025-10-21 10:22:18
脑部检查结果出来后,医生指着影像片上大脑深处的小阴影告知...
更新时间:2025-10-12 13:46:32
2024版中国破裂颅内动脉瘤临床诊疗指南明确指出,无论动脉瘤是...
更新时间:2025-10-08 09:06:06
2016年研究团队首次对人类松果体蛋白质组进行系统研究,共鉴定...
更新时间:2025-10-08 09:00:36
孩子身高较同龄儿童稍矮,下肢力量总是显得不足,偶尔行走时...
更新时间:2025-08-31 09:17:42
医生对照影像资料解释道:“这一核桃大小的区域称为松果体,...
更新时间:2025-08-21 09:17:11
36岁的晴晴曾面临此抉择,携带16mm的松果体肿瘤生活两年后,最...
更新时间:2025-08-09 10:10:18
这些本应绽放的生命因隐匿性病变遭受重创。治疗中手术不仅是...
更新时间:2025-07-12 10:06:59
松果体解剖位置极其关键,位于间脑顶部的大脑中心区域,毗邻...
更新时间:2025-06-28 09:17:43
Henry W.S. Schroeder(施罗德)教授主刀手术,采用经胼胝体入路切除...
更新时间:2025-05-30 09:20:40
松果体肿瘤作为一类起源于颅内松果体区的罕见病变,因其位置...
更新时间:2025-05-21 14:40:22

Cases of Chinese Patients
Academic Visits
International Treatment