"身体沉重如灌水泥,手指无法抬起。确诊脑海绵状血管瘤这一年,我经历了什么?"脊髓海绵状血管瘤这一罕见疾病未给郑先生任何适应时间。吞咽、抬手、翻身等基础功能在一夜间丧失。
病例概述与急性发病
发病前郑先生生活节奏极快。2023年10月,他在处理新项目时首次发现后颈异常酸痛,"原以为是颈椎劳损"。病情在24小时内急剧恶化:从颈部酸痛发展为剧烈呕吐,最终在救护车上失去颈部以下所有知觉。急诊初步诊断为脊髓血管病变,住院11天期间左侧躯体部分恢复知觉,但右侧仍麻木,吞咽功能严重受损。
诊疗过程与保守治疗
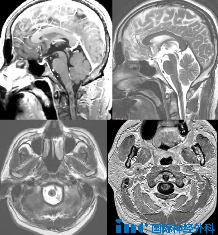
转至康复中心后,郑先生开始长期治疗,针灸、按摩、中药、小针刀等传统疗法相继应用。12月底MRI检查确诊为延髓区海绵状血管瘤,因病变紧贴生命中枢,多家医院建议保守治疗。

治疗挑战与临床决策
脊髓海绵状血管瘤治疗面临两大挑战:
再出血风险:2022年《Journal of Neurosurgery》研究指出,第二次出血后神经功能显著恶化,出血次数与完全康复可能性负相关。

手术风险:脊髓神经纤维控制运动、感觉、吞咽及呼吸功能,手术需在切除病灶的同时保护神经,否则可能导致瘫痪、感觉丧失、大小便失禁等后果。

转机与手术干预
转机出现在病友群分享的INC巴特朗菲教授来华消息。教授分析影像后指出:"C1颈髓内海绵状血管畸形导致内生性出血并延伸至延髓下部,手术切除技术可行。虽非急诊手术,但为预防再出血应尽早干预。"他同时说明此前出血已造成神经损伤,术后症状可能改善但不完全消失。

2024年10月2日巴教授主刀手术,中国团队配合,手术顺利完成。术后首日患者转出ICU,部分功能改善。一年后郑先生恢复正常生活,可进行健身运动。

案例来源:INC巴特朗菲教授2024年10月2日手术病例
专家背景与学术贡献

INC国际神经外科医生集团世界神经外科顾问团成员、世界神经外科联合会教育与技术委员会前主席巴特朗菲教授,现任德国汉诺威国际神经外科研究院血管神经外科主任,擅长脑干病变、脑血管疾病、脑深部胶质瘤等病灶的肿瘤切除与神经吻合术。教授曾接受40国学术邀请,出席400余场国际会议并作特邀发言,对颅底外科与显微外科血管病变治疗贡献显著。

胶质瘤
垂体瘤
脑膜瘤
脑血管瘤
听神经瘤
脊索瘤

沪公网安备31010902002694号