当一岁半的聪聪出现斜视症状时,其父母从未预料到这竟会指向一场严峻的健康挑战。如今,在成功接受脑干手术后,孩子已重获新生,正快乐成长。术后,他的身高增长显著,常被误认为已达学龄。其运动功能完全未受影响,且在同龄人中运动能力表现突出。他尤其热衷于打篮球、参与各类运动及结交朋友……对于家庭而言,此事已基本翻篇。我们更多地着眼于孩子的未来,而非沉湎于过去。

回顾这段历程,心中充满感恩与庆幸。唯愿我的孩子能如小树般持续向阳生长,平安健康地长大成人。以下内容整理自聪聪父亲的自述:
01 儿童突发斜视病因探究与识别
那天的情景我记忆犹新,当时我正在外地出差。妻子发来一段视频,语气焦急地询问:“你看,宝宝的眼睛怎么好像有点斜了?”起初我们并未多想,以为仅是暂时现象。带他走访了眼科医院及其他几家医疗机构后,有医生检查后表示:“可能是电视观看时间过长,注意用眼卫生即可。”然而,我内心始终感到不安。一段时间后,我咨询了几位在医院工作的朋友,他们听完描述后严肃地指出:“最好进行全面检查,做个脑部影像学检查,以排除颅内病变可能。”
“脑内的问题?”那一刻,我的心猛然下沉。实际上我已隐约察觉异常。孩子的眼部表现,看起来并不像简单的近视或斜视。我们不敢耽搁,立即预约了头颅核磁共振检查。结果出来的瞬间,我几乎僵在原地——确为脑部问题。一时间,最坏的猜测涌上心头:难道是儿童高发的胶质瘤?我捏着影像片子,双手有些颤抖,当即决定前往大型医院就诊。
抵达医院后,医生明确告知诊断为脑干海绵状血管瘤。我以最快速度安排好了住宿,正在医院楼下准备办理住院手续。

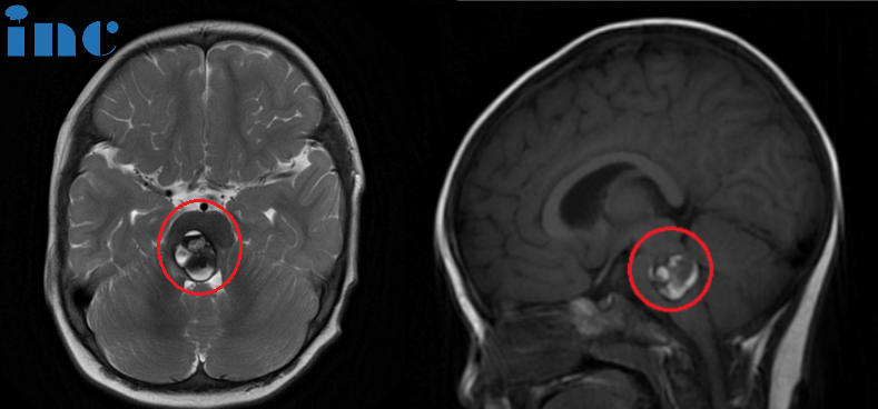
聪聪的脑干海绵状血管瘤病变位置
然而就在此时,孩子的病情急转直下。他开始出现行走不直、步态歪斜的情况。更令我心惊的是,他出现了频繁的、不自主的扭头动作,类似一种神经性抽动。同时,他面部的笑容也变得异常,一侧嘴角似乎无法上提——出现了面瘫的临床症状。我的心紧紧揪起。住院单虽已在手,但我却感到前所未有的恐慌与无助。
02 国际医疗资源对接:巴特朗菲教授来华诊疗契机
就在办理住院安排期间,我的手机响起。一位同病相怜的病友发来消息:“听说德国的巴特朗菲教授近期即将来华!”事实上,在知晓孩子病情后,我自己也曾查阅相关资料。巴特朗菲教授的名字出现在多篇关于高难度脑干手术的文献中。但当时我认为,那是遥不可及的人物,是“他人家庭的希望”。我甚至未曾设想,他有可能为我的孩子实施手术。妻子之前也曾提及,说国外有位德国医生在国内有成功案例,询问我是否考虑。我当时心绪纷乱,也未细问,更未将这两条信息关联起来。
直至这条消息真切地呈现在眼前。“近期即将来华”这几个字,瞬间让我看到了希望。我立刻暂停了所有住院手续,先行联系。后来我告知妻子时,她说那太好了,感觉犹如峰回路转,希望感大幅提升,她眼中充满了欣喜。我们几乎未加犹豫,便决定暂缓住院。期间也曾考虑前往北京,但咨询后得知排期可能需两个月,加之异地生活开销,时间与经济成本均不低。而邀请巴教授手术,若能一次性解决问题,后续无需漫长的康复与药物治疗,从整体考量,甚至可能节省部分时间与费用。
当然,初始阶段也存在顾虑。我曾直接询问对接工作人员:“你们究竟是否可靠?”并委托国外朋友打听巴教授,获得的反馈均为正面,这使我逐渐安心。
03 以孩子未来为导向的坚定治疗决策
从孩子出现症状到联系上巴教授团队,大约历时一个月。咨询时,教授的分析极为详尽、清晰。他明确诊断即为脑干海绵状血管瘤,并肯定地告知我们:可以实施手术,且目标为肿瘤全切。这句话,对我们家长而言,分量极重。因为在此之前,我们也咨询过其他医生,听到最多的词汇是“风险极高”、“难以两全”。所谓“两全”,即指在彻底清除病灶的同时,完好保留神经功能。这似乎是一种难以兼得的期望。而巴教授的自信,给予了我们继续前行的决心。
04 脑干海绵状血管瘤术后症状改善实录
手术由INC巴特朗菲教授主刀,苏州大学附属儿童医院神经外科主任王杭州教授全力配合,过程顺利。术后第二天,孩子从ICU转回普通病房。我守候在门口,当病床推出的那一刻,目光始终聚焦于他。
▼术前术后影像对比

术前:脑桥占位性病变。临床表现包括双眼斜视、畏光、面瘫、频发不自主扭头动作及行走稍有不稳。头颅磁共振成像(红色区域)显示:脑桥血肿,可见16 x 22 x 21mm肿块,第四脑室受压变窄。

术后:头颅磁共振成像(蓝色区域)显示小脑半球及脑干形态正常,中线结构居中,原脑桥内团块状信号消失。
随后,我见证了奇迹。他那双术前几乎无法转动、显得呆滞的眼睛,此刻正灵活地、好奇地左右转动,打量着周围环境!仅此一眼,我悬了数月的心,忽然落下一大半。我明白,最关键的关卡可能已经闯过。返回病房后,我们仔细观察,发现之前频繁的扭头动作已消失。面瘫仍留有轻微痕迹,但已显著改善。约两三天后,他便能下地,自行外出玩耍。至此,术前所有令人揪心的症状基本均已消失。那一刻的欣慰,难以用言语形容。感觉压在他未来人生道路上最大的一块巨石,已被移开。
住院约一周后,我们办理了出院。上车回家时,除了后脑勺仍贴着纱布,他已在后座活泼蹦跳,与患病前几乎无异。无需服药,也无需特殊康复治疗。这,对我们全家而言,已是巨大的、不敢想象的幸福。

2023年,健康成长的聪聪在游乐园攀爬玩耍。

2022年,热爱运动的聪聪进行攀爬、打篮球等活动。

2019年,术后不久的聪聪已恢复往日的活泼可爱。
05 重大神经系统疾病诊疗路径的多元化选择启示
此事,我的家人、亲戚、同事均已知晓。当时我请假一个多月陪伴孩子,公司给予了极大支持。后来,大家除了为我们高兴,提及最多的是:“原来在面对此类重大疾病时,仍有渠道可以邀请到国外专家进行手术。”这似乎打破了多数人的认知盲区。原来,当遭遇某些棘手的医疗难题时,视野可以更为开阔,主动寻求更多可能性,包括国际医疗资源。这并非遥不可及。
如今,偶尔也会有情况类似的病友前来咨询。对于他们,我都非常乐意分享自身经历。因为我深知,在那条最初看似绝望的道路上,哪怕仅是一点确切的信息、一丝真实的希望,对于那个家庭而言,意味着什么。这条路,我们已走过。也希望我们的经历,能成为其他仍在黑暗中摸索的家庭,远处的一缕微光。

胶质瘤
垂体瘤
脑膜瘤
脑血管瘤
听神经瘤
脊索瘤

沪公网安备31010902002694号