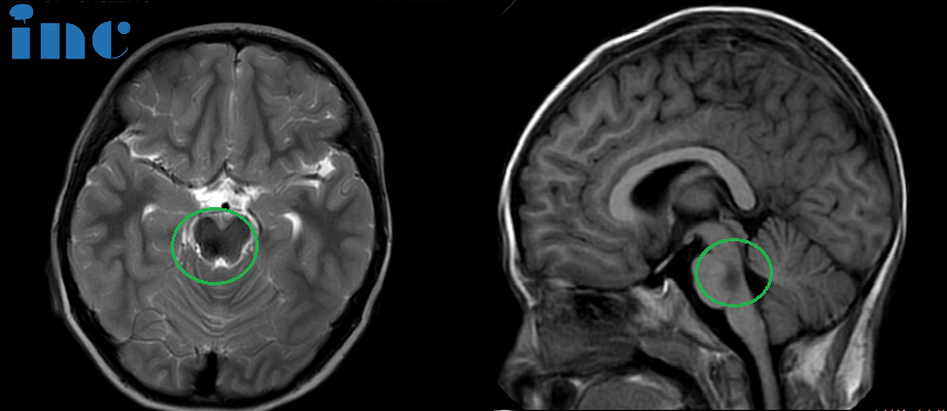
一名不到2岁的男童聪聪在苏州大学附属儿童医院接受脑干海绵状血管瘤切除术。患儿因看电视时出现斜视症状,经眼科检查后行脑部核磁共振,发现脑干存在16×22×21mm的血肿,第四脑室受压变窄。患儿表现为双眼斜视、面瘫、不自主扭头和行走不稳等脑干出血症状。


巴特朗菲教授主刀实施手术,目标为全切除脑干海绵状血管瘤。手术成功切除病灶,术后第二天患儿转回普通病房,术前症状基本消失。住院一周后出院,无需药物治疗和康复训练。四年随访显示患儿运动功能完全恢复,运动能力优于同龄人,可正常参与篮球等体育活动。

脑干海绵状血管瘤的临床症状指南
海绵状血管瘤(CMs)是可能导致反复出血的血管性病变,引起神经功能损害甚至死亡。脑干海绵状血管瘤占颅内海绵状血管瘤的20%,年出血率显著高于其他部位。脑干出血量超过一瓶盖容量即可导致死亡,早期诊断尤为重要。
需警惕的八大症状包括:
运动功能障碍:肢体无力或瘫痪、行走不稳、动作协调性差、肌肉张力异常
感觉异常:面部四肢麻木感、针刺感、烧灼感,温度觉触觉减退
眼部症状:眼球偏斜、复视、眼球震颤、瞳孔大小不等
平衡障碍:眩晕伴恶心呕吐,站立行走平衡困难
生命体征异常:呼吸困难、心率过快过慢或心律不齐
语言吞咽障碍:言语含糊、语速缓慢、吞咽困难
意识精神障碍:嗜睡昏迷、记忆力减退、焦虑抑郁
颅高压症状:持续性头痛、喷射性呕吐
手术治疗时机与预后研究
2025年1月3日《Journal of Neurosurgery》发表32例脑干海绵状血管畸形研究显示,首次出血后尽早手术可获得良好功能预后。出血≥3次及慢性期手术仅能实现次全切除,需保留钙化或含铁血黄素沉积残余。术后神经功能结果与出血次数和手术延迟呈负相关。
研究表明,早期干预是改善预后的关键因素。对于出现相关症状的患儿,建议尽早就医进行脑部影像学检查,以争取最佳治疗时机。手术切除是目前治疗症状性海绵状血管瘤的主要方法,尤其是对于脑干等关键部位的病变。

临床处理建议与随访管理
对于确诊脑干海绵状血管瘤的患儿,建议在经验丰富的医疗中心进行治疗。术后需要定期进行神经影像学随访,监测病变变化情况。长期管理应包括神经功能评估和生活质量评价,确保患儿获得最佳康复效果。
参考文献:
Journal of Neurosurgery, January 3, 2025
Brainstem Cavernous Malformations: Surgical Outcomes in 32 Cases

胶质瘤
垂体瘤
脑膜瘤
脑血管瘤
听神经瘤
脊索瘤

沪公网安备31010902002694号