神经鞘瘤作为常见的良性颅底肿瘤类型,起源于小脑及脑干区域脑神经鞘膜。临床常见类型包括第8对脑神经前庭神经鞘瘤(听神经瘤)与第5对脑神经三叉神经鞘瘤。
关于三叉神经鞘瘤的严重程度,通常该类肿瘤预后良好。但当肿瘤体积较大且位于脑干旁形成压迫时,手术难度及风险显著增加,对神经外科医师技术水平提出较高要求。INC世界神经外科顾问团成员William T. Couldwell教授在《Skull Base Tumors: Surgery Perspective》论文中分享了一例典型脑干压迫性巨大三叉神经鞘瘤全切案例。

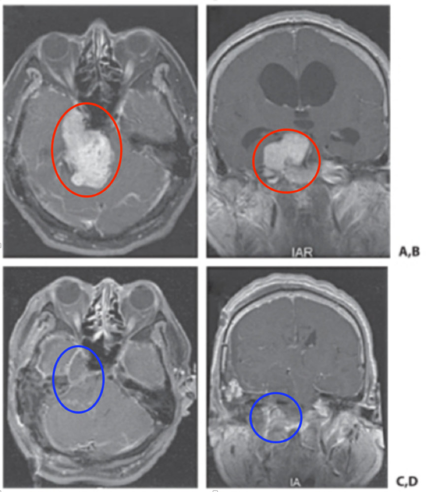
脑干旁巨大三叉神经鞘瘤全切手术过程
术前评估显示一名54岁男性患者因进行性行走不稳症状及突发性眩晕就诊,影像学检查发现脑干旁巨大三叉神经鞘瘤,术前MRI呈现典型"哑铃型"形态。由于肿瘤压迫脑干且跨越前、中颅窝,手术易导致神经损伤或肿瘤残留,治疗难度较大。经多家医院评估均认为治疗难度较高,最终由William T. Couldwell教授团队采用岩骨联合入路成功实现肿瘤全切,术后MRI证实完全切除。

图A、B显示术前MRI可见巨大三叉神经鞘瘤伴脑干受压,图C、D为术后MRI显示肿瘤完全切除。患者术后未出现手术相关副作用,无明显并发症,三年随访未见复发。
三叉神经鞘瘤临床处理策略
首次治疗方案的选择对三叉神经鞘瘤治疗效果至关重要。不当的治疗方案不仅无法缓解症状,还可能增加后续治疗难度。治疗策略需综合患者年龄、症状类型与严重程度、肿瘤大小等因素制定。
早期发现与干预尤为关键,因为肿瘤增大会增加手术难度,同时对周围组织造成压迫,引发面瘫、行走不稳、听力下降等症状。大型三叉神经鞘瘤手术具有显著挑战性,这与三叉神经的解剖特点密切相关。三叉神经起源于脑干,跨越多个颅底孔道,分布范围深在,周围毗邻脑干、海绵窦、颈内动脉及多条颅神经。
手术入路方式包括前方入路、侧方入路、后方入路、硬膜下入路、硬膜外入路及硬膜间入路,需根据肿瘤大小和部位选择合适术式,对手术设备及主刀医师技术要求较高。
Couldwell教授论颅底肿瘤手术发展
William T. Couldwell教授指出,颅底肿瘤常与周围神经血管结构关系密切,这使得全切除难度较大。由于肿瘤可能向邻近腔室扩展,颅内和颅外结构均可受累,因此需要采用多学科协作治疗方案。

近二十年来,随着显微外科技术、现代颅底入路、电生理监测和神经影像学等领域的进步,许多以往认为无法切除的肿瘤现已能够通过神经保护技术实现安全切除。显微手术结合颅底技术可最大化手术视野,减少脑组织牵拉,并提供多角度手术视角。
近年来,无框架立体定向技术和内镜技术的应用进一步推动了现代颅底手术的发展。颅底肿瘤手术的核心目标是在治疗病变的同时最大限度保留神经功能,最终实现全肿瘤切除与最低并发症发生率的最佳平衡。

胶质瘤
垂体瘤
脑膜瘤
脑血管瘤
听神经瘤
脊索瘤

沪公网安备31010902002694号