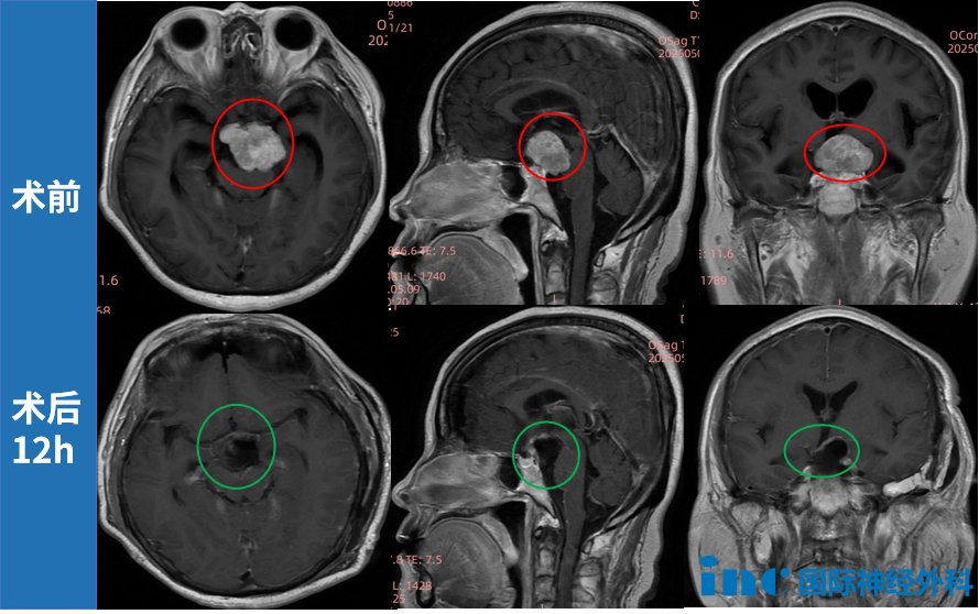
赵女士因眼前黑影症状检查发现鞍区肿瘤病变。鞍区作为蝶骨鞍状结构区域,汇集垂体、视神经与视交叉、下丘脑等重要解剖组织,属于颅底解剖中复杂性较高区域。肿瘤向前上方推挤视交叉结构,向前下方压迫垂体柄,向后方压迫脑干组织,并与动眼神经、滑车神经、三叉神经紧密相邻,同时毗邻颈内动脉及基底动脉系统。
医疗团队对诊疗方案存在意见分歧:部分医生诊断为脑膜瘤建议开颅手术,另一部分医生考虑颅咽管瘤建议经鼻内镜手术。面对不同手术方案,患者面临治疗决策困难。
INC福教授采用显微镜与神经内镜双镜联合技术,在完整保留听力功能与面神经功能前提下,成功实现肿瘤精准切除,术后病理检查确诊为脑膜瘤。

现代神经外科发展历程与手术工具进化密切相关。神经外科显微镜的应用显著提升手术精准度,明显减少邻近组织损伤风险。神经内镜技术进一步扩展入脑通道,使显微镜难以触及区域获得良好视野。显微镜与内镜双镜联合手术方案充分发挥两种工具优势,在确保手术安全基础上最大化肿瘤切除程度。
INC国际神经外科教授团、世界神经外科联合会颅底手术委员会前主席、神经内镜筷子技术发明者法国Froelich教授,是神经外科领域双镜联合技术应用的领先专家。

INC法国Froelich教授双镜联合手术观点解析
作为国际显微镜与内镜手术专家,Froelich教授在接受采访时阐述了复杂颅底手术中显微镜与内镜的使用观点。颅底手术需要抵达颅底深部区域,通常存在两种选择:创建大型手术通路增加患者风险,或缩小手术通路配合内镜增强视野。绝大多数手术中,内镜作为必备工具用于观察开颅手术未暴露结构。内镜与显微镜组合成为颅底手术理想方案,因手术操作深度需要内镜辅助。

复杂脊索瘤手术中,Froelich教授联合使用显微镜与内镜两种工具。内镜不仅实现深部结构可视化,对保护正常脑组织安全同样重要。内镜手术中应用的筷子技术,旨在实现微创操作,避免接触鼻腔内部结构。传统神经外科内镜手术需两名医生配合,存在操作空间不足、器械干扰问题。筷子技术使术者同时操作内镜、吸引器及其他器械,实现人镜合一,提供更高操作精度。

筷子技术示意图显示,内镜与吸引器可保持于术者非主导手,通过旋转轴与吸引器尖端角度结合,实现360度操作范围。该技术目标为减少手术入路侵袭性,避免正常结构损伤导致的术后并发症。
神经外科显微镜与内镜技术发展历程
显微镜神经外科发展历程
手术显微镜应用标志神经外科重要发展节点,使手术从肉眼时代进入显微镜时代。首台复合显微镜发明者存在争议,但显微镜技术为工业、医学等领域带来重大革新。

1957年8月1日,美国加州大学神经外科医生Theodore Kurze使用耳科手术显微镜成功完成听神经瘤手术,成为世界首例显微神经外科手术。1968年,以瑞士学者Yasargil为代表的神经外科专家开始在显微镜下进行手术操作。20世纪60年代初手术显微镜引入神经外科,显著提升手术精确性与治疗效果。
国内显微神经外科发展始于1972年,日本庆应大学神经外科杜子威教授回国后捐赠首台神经外科手术显微镜及相关器械,率先开展显微神经外科手术,推动国内神经外科中心引进应用手术显微镜。

内镜神经外科发展历程
神经内镜技术最早应用于脑室手术,因内镜摄像系统不完善发展受限。近15年高清内镜摄像系统更新促进神经内镜解剖学发展,应用范围扩展至所有神经外科领域。

Gerard Guiot作为颅内与颅底内镜研究先驱,1962年完成首例垂体瘤内镜手术。1973年Fukushima引进现代内镜用于脑室内病变活检、囊肿开窗与脑积水治疗。1978年Bushe与Halves首次报告垂体手术中使用现代内镜。1992年法国学者报道神经内镜下经鼻蝶切除垂体腺瘤,内镜技术逐步成为颅底疾病重要手术方式。

内镜手术与微创手术概念辨析
微创手术指采用一切可能手段控制组织损伤范围的手术方式,具有创伤小、时间短、恢复快等特点。内镜手术利用内窥镜观察体内结构并切除病变组织,部分微创手术可通过内镜技术实现。

临床实践中需区分内镜手术与微创手术概念。腔镜手术体表切口小,但可能造成内部组织较大创伤。复杂颅脑手术如侵袭性垂体瘤、颅咽管瘤经鼻内镜手术,可能引起脑血管破裂、视神经损伤等严重并发症。神经外科内镜手术不等同于微创手术,需根据肿瘤类型、大小、位置等综合因素评估。
神经内镜技术与显微神经外科技术对比
神经内镜技术具有广角观察与近距离视野优势,但存在缺乏立体感、镜体占位、镜头雾化等局限性。应客观评价内镜与显微镜在神经外科手术中的各自价值,根据病情个体化选择。两种技术互为补充,3D内镜技术参照显微镜立体成像优势研发,并非简单替代。提倡联合应用神经内镜与显微镜技术,充分发挥各自特点,提升治疗效果与患者预后。

胶质瘤
垂体瘤
脑膜瘤
脑血管瘤
听神经瘤
脊索瘤

沪公网安备31010902002694号