脑干脑桥海绵状血管瘤一旦出血,临床后果严重。手术切除为根治病灶的主要治疗方式。然而手术风险极高,轻微操作偏差可能损伤重要神经。如何选择最安全的手术入路,成为神经外科领域持续探索的核心挑战。
国际知名神经外科期刊《Journal of Neurosurgery》发表INC脑血管专家巴特朗菲教授的脑干脑桥海绵状血管瘤135例手术经验,总结系列手术案例的病变分型、手术入路、切除情况及术后并发症、恢复情况等,同时推荐脑桥后外侧入路手术切除术后并发症发生率更低。

脑桥手术的临床风险
脑干损伤的临床意义显著。脑干被称为"生命中枢",其中脑桥密集排列颅神经核团和连接大脑与脊髓的传导束,一旦受损,临床后果严重。

桥脑海绵状血管瘤病变位置特征为:血管病变不邻接桥脑表面,但单侧移动周围固有结构,包括外展神经和面神经。
传统脑干手术多采用后正中入路,通过第四脑室底(菱形窝)进入脑桥。该路径直接,但存在特定问题:展神经核距离菱形窝表面仅0.2毫米,面神经核距离约5.1毫米。这种解剖关系类似在悬崖边缘行走,轻微偏差可能造成不可逆神经损伤。
具体神经损伤后果包括:
展神经核损伤可能导致斜视
面神经核损伤可能出现面瘫
三叉神经核损害可引起损伤侧面部感觉异常
下行神经传导损伤可能导致瘫痪、偏瘫等症状
严重脑干损害可能引起呼吸、心跳改变
脑桥病变分型与手术入路
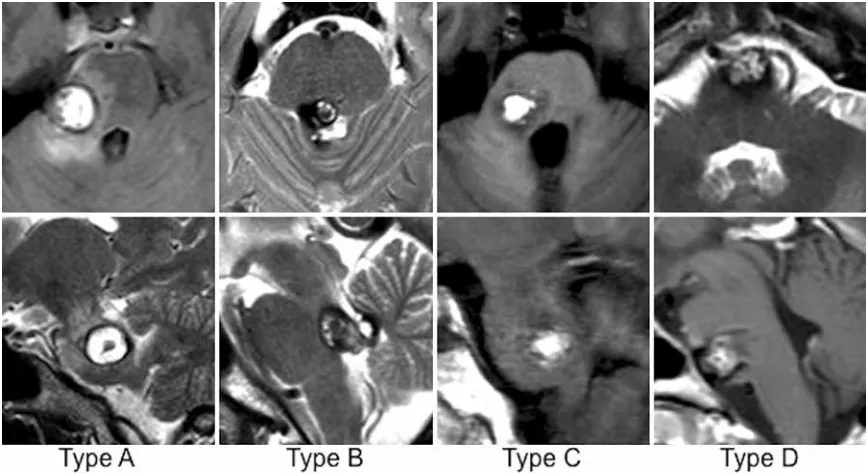
多年來,神经外科医生持续寻找更安全的手术通道。INC巴特朗菲教授在本研究中根据最合适或可能的手术入路定义4种不同病变类型(A-D型)脑桥海绵状血管瘤。
每列显示一名具有代表性脑桥海绵状血管瘤类型患者的轴向(上)和矢状(下)MR图像。
A型病变
病灶贴附脑桥外侧,只能从侧面切除(后外侧入路),从中线切入可能损伤脑干。
B型病变
病灶靠近脑桥后方的菱形窝(第四脑室底),只能从中线切除(后内侧入路)。
C型病变
病灶位于外侧和中间之间,两种入路均可切除(本研究核心对象)。
D型病变
病灶生长在脑桥前面,需从前方绕行进入(前外侧入路)。

最引人关注的C型病变既可从后外侧也可从后正中入路处理,占所有患者的57%。
对于C型病变,外科医生面临实际选择:采用传统后内侧路径,或尝试后外侧路径?决策至关重要,直接关系到患者术后微笑、眨眼等正常功能。
后外侧入路的优势分析
在C型病变患者中,接受后外侧入路手术的患者永久性展神经麻痹发生率为3.7%,而经后内侧入路患者为21.7%;面神经麻痹发生率分别为1.9%对比21.7%。统计学分析证实这种差异具有显著性。
总体来看,所有135例患者中,术后展神经和面神经功能缺损率分别为5.9%和5.2%,低于大多数已发表报告。
这些数据背后是实际临床案例。研究中一名45岁女性,脑桥巨大海绵状血管瘤出血导致卧床不起、意识模糊。通过远外侧经髁入路(一种后外侧入路),医生成功切除病变,患者逐渐恢复,仅残留轻微面部无力。
后外侧入路能更好保护颅神经的原因在于脑桥内部微观解剖结构。展神经核和面神经核位于脑桥背侧,正对第四脑室底。当从后正中经菱形窝入路时,手术通道直接经过这些神经核团附近。而从后外侧进入,医生可以避开这些关键结构,通过更安全通道到达病变。
在神经外科迈向精准医疗的当下,治疗目标已从单纯"切除病变"升级为"在保护功能前提下完美切除"。这项跨越24年的研究,通过135例临床数据,为桥脑这个手术禁区绘制了更为精准的"安全地图"。每一个手术决策,都关系到患者微笑、目光和未来生活质量。
文献来源:
Helmut Bertalanffy, et al. Optimal access route for pontine cavernous malformation resection with preservation of abducens and facial nerve function. JNS 2020.

胶质瘤
垂体瘤
脑膜瘤
脑血管瘤
听神经瘤
脊索瘤

沪公网安备31010902002694号