INC国际神经外科医生集团
当前位置:inc(INC) > 巴特朗菲

脑膜瘤

德国成功案例交流:58岁脑干胶质

德国成功案例交流:58岁脑干胶质

德国成功案例交流:58岁脑干胶质瘤,不想认命!今年60岁的陈老先...

脑瘤恶魔胶质瘤!美参议员麦凯

脑瘤恶魔胶质瘤!美参议员麦凯

而二次滑铁卢则是患上了脑胶质瘤,脑胶质瘤让麦凯恩的...

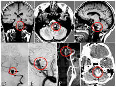
INC国际教授高度疑难脑动脉瘤成

INC国际教授高度疑难脑动脉瘤成

术前磁共振扫描显示部分血栓形成的VA-PICA动脉瘤,并压迫脑干(...

听神经瘤是什么原因引起的?手

听神经瘤是什么原因引起的?手

听神经瘤是什么原因引起的?手术能治好吗? 听神经瘤 是一种良...

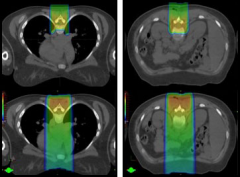
质子治疗颅底脊索瘤和软骨肉瘤

质子治疗颅底脊索瘤和软骨肉瘤

脊索瘤是一种少见的低度恶性肿瘤,常发生于斜坡区。由于转移...

北京宣武医院神经外科教授班:

北京宣武医院神经外科教授班:

2016年11月2日-6日由首都医科大学宣武医院、中国国际神经科学研...

脑胶质瘤发展快吗?

脑胶质瘤发展快吗?

弥漫性低级别胶质瘤(DLGG)是一种进展性原发性脑瘤,可以区分其...

脊髓髓内肿瘤治疗方案附案例一

脊髓髓内肿瘤治疗方案附案例一

脊髓髓内肿瘤是起源于脊髓内组织的肿瘤,主要以室管膜瘤和星...

脑海绵状血管瘤的国外治疗

脑海绵状血管瘤的国外治疗

由于视力下降明显、视野缺损严重,40多岁张先生就医后被诊断为...

脑干海绵状血管瘤出血,什么时

脑干海绵状血管瘤出血,什么时

脑海绵状血管瘤 是指长在脑内的血管畸形,其中脑干部位的海绵...

神经外科治疗

照片/视频云集

神外历史

神外历史

Neurosurgical History

学术访问

学术访问

Academic Visits

国际治疗

国际治疗

International Treatment