INC国际神经外科医生集团
当前位置:inc(INC) > 巴特朗菲

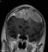
脑膜瘤

儿童颅底肿瘤手术并发症有哪些

儿童颅底肿瘤手术并发症有哪些

颅底肿瘤很难治疗,因为接近它们很复杂。然而,随着近期的技...

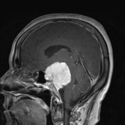
“牙疼不止”“面疼不休”的三

“牙疼不止”“面疼不休”的三

持续牙疼,竟是三叉神经鞘瘤作怪 近来,李女士经常感到牙疼,...

位于生命中枢的巨大脑干海绵状

位于生命中枢的巨大脑干海绵状

海绵状血管瘤 在人群中少见,脑干(包括中脑、脑桥、延髓...

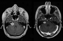
岩斜区脑膜瘤手术风险大?显微

岩斜区脑膜瘤手术风险大?显微

岩斜区脑膜瘤 仍然是外科手术的巨大挑战。这些肿瘤以缓慢、持...

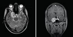
【松果体肿瘤】松果体区肿瘤能

【松果体肿瘤】松果体区肿瘤能

松果体悬挂在大脑的正中央。18世纪法国科学家勒内笛卡尔认为松...

间变性脑膜瘤术后能活几年?

间变性脑膜瘤术后能活几年?

脑膜瘤 占全部颅内肿瘤的13% ~ 26%。大多数脑膜瘤是良性的(90%),...

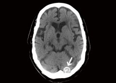
脑膜瘤急性复发性出血危及生命

脑膜瘤急性复发性出血危及生命

原发性脑瘤患者自发性颅内出血的发生率在文献中从1.4%到10.0%不...

听神经瘤好治不好治?听神经瘤

听神经瘤好治不好治?听神经瘤

听神经鞘瘤 好治不好治?听神经瘤,也称为前庭神经鞘瘤,是一...

脑膜瘤的复发及其治疗

脑膜瘤的复发及其治疗

对于 良性脑膜瘤 ,临床相关复发在患者一生中很常见。64%至97...

脑干海绵状血管瘤能活多久?长

脑干海绵状血管瘤能活多久?长

脑干海绵状血管瘤长在人体大脑重要中枢脑干中,脑干的功能主...

神经外科治疗

照片/视频云集

神外历史

神外历史

Neurosurgical History

学术访问

学术访问

Academic Visits

国际治疗

国际治疗

International Treatment