INC国际神经外科医生集团
当前位置:inc(INC) > 巴特朗菲

脑膜瘤

大脑镰旁脑膜瘤手术难点

大脑镰旁脑膜瘤手术难点

大脑镰旁脑膜瘤是一种常见的脑膜瘤位于大脑纵裂,源自大脑镰...

什么是少突胶质细胞瘤?少突胶

什么是少突胶质细胞瘤?少突胶

少突胶质细胞瘤是一种称为脑胶质瘤的脑肿瘤。少突胶质细胞瘤...

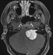
听神经瘤的治疗和生活质量

听神经瘤的治疗和生活质量

尽管 听神经瘤 是良性的,但它们会严重影响生活质量。单侧听力...

【德国INI】德国汉诺威国际神经

【德国INI】德国汉诺威国际神经

出国看病:【德国INI】德国汉诺威国际神经外科研究所,近年来...

少见的脑和脊髓室管膜瘤如何治

少见的脑和脊髓室管膜瘤如何治

室管膜瘤是一种原发性肿瘤,这意味着它始于大脑或脊柱。大脑...

脑肿瘤能活多久?治疗方法决定了

脑肿瘤能活多久?治疗方法决定了

脑肿瘤 能活多久?对于脑肿瘤以及颅内占位性病变等神经外科疾病...

弥漫性浸润性低级别胶质瘤管理

弥漫性浸润性低级别胶质瘤管理

根据国际卫生组织(WHO)2016年对中枢神经系统肿瘤分类的更新,成...

良性脊髓肿瘤的手术治疗:顺利

良性脊髓肿瘤的手术治疗:顺利

脊髓肿瘤是发生在脊髓内或脊髓附近的异常组织块。它们可以是...

胶质瘤能治好吗?手术治

胶质瘤能治好吗?手术治

胶质瘤 是大脑较常见的恶性肿瘤,随着胶质瘤等级的升高,其死...

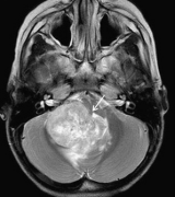
早治听神经瘤或可保听力、防面

早治听神经瘤或可保听力、防面

听神经瘤 是一种良性的,通常生长缓慢的肿瘤,由供应内耳的平...

神经外科治疗

照片/视频云集

神外历史

神外历史

Neurosurgical History

学术访问

学术访问

Academic Visits

国际治疗

国际治疗

International Treatment