8岁男性患儿亿亿曾诊断为胶质瘤,其病情复杂程度令众多医生深感挑战。肿瘤从脑干延髓持续生长至颈髓,最终累及胸髓区域,手术难度堪比复杂的长途跋涉。
理想的手术效果需要在术中实现肿瘤安全全切,同时避免因广泛椎板切除对患儿脊柱脊髓生长发育造成不利影响。这对多数外科医生而言属于极具挑战性的任务,但亿亿获得幸运结果——术前无法正常站立行走、面临瘫痪风险的他,术后竟恢复行走能力,且运动功能与发育未受影响!
术前状况:患儿面临瘫痪风险
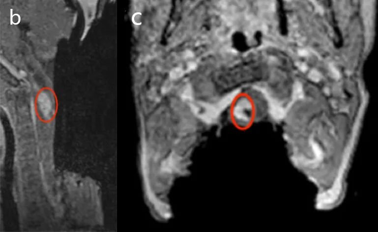
因肺炎症状,亿亿在父母陪同下来到当地医院接受治疗。此时他已出现进行性左侧偏瘫和吞咽困难,无法正常行走。根据医生建议,亿亿接受头颈部核磁共振成像检查。
结果显示:脑干延髓和第四脑室至胸髓T3水平存在囊性肿瘤。神经系统检查显示水平性眼球震颤、重度左侧偏瘫和同侧反射活跃。

手术过程:分阶段实现肿瘤全切
亿亿的主刀医生巴特朗菲教授带领团队讨论后,为其制定个性化手术方案。鉴于该胶质瘤累及范围广泛,且患儿年龄小、处于生长发育关键期,为实现肿瘤全切,术中需切开颈部所有椎板。若处理不当,将严重影响亿亿脊柱生长发育。
因此手术方案中,巴教授选择原位椎板成形术,该术式不影响颈椎运动和发育,确保术后脊柱脊髓运动功能和发育不受影响。
手术按计划进行。在体表定位及X线辅助准确定位后,巴教授采用枕下正中入路开颅并切开椎板,从颈部开始肿瘤切除,随后引流切除颅骨(延髓)范围内肿瘤囊性部分。
术中监测和运动诱发电位始终保持稳定。巴教授确认显微镜下达到满意切除程度后,决定进行术中磁共振(iMRI)扫描检查,以明确肿瘤是否完全切除。

然而术中MRI检查结果显示,右侧C1-C2水平仍有少量肿瘤残留。手术继续实施,巴教授对这些区域残余肿瘤再次切除。术中MR检查后证实病变已完全切除。最后为确保患儿术后正常行动能力,巴教授还实施颅骨成形术及椎板原位复位术。

术后结果:神经功能显著改善
术后,亿亿无神经功能损伤,术前吞咽困难症状改善,左侧运动功能障碍得到改善。术后组织病理学诊断为间变性星形细胞瘤。
巴教授的手术使亿亿避免瘫痪命运。如今他逐渐成长为青少年,开始喜欢徒步活动。在亿亿全新人生篇章中,曾经行走困难的小男孩已能远行,未来前景一片光明。
案例来源:Helmut Bertalanffy. Feasibility of cervical intramedullary diffuse glioma resection using intraoperative magnetic resonance imaging, Neurosurgical Review. 2014

胶质瘤
垂体瘤
脑膜瘤
脑血管瘤
听神经瘤
脊索瘤

沪公网安备31010902002694号