患儿既往活泼好动,喜爱舞蹈表演,但近一个月出现颈部活动障...
更新时间:2026-01-13 09:57:52
颅咽管瘤作为一种具有侵袭特性的良性脑肿瘤,因其易复发、需...
更新时间:2026-01-13 09:50:56
INC国际儿童脑瘤专家、《Child's Nervous System》现任主编Concezio Di ...
更新时间:2026-01-11 09:51:25
疾病最严重阶段,患者出现明显呼吸障碍症状,因氧气供应不足...
更新时间:2026-01-11 09:45:47
再次见到儿子时手术已完成,鲁特卡教授确认达到全切标准,病...
更新时间:2026-01-11 09:35:05
武女士接受开颅手术,手术结果令人满意:肿瘤完全切除,垂体...
更新时间:2026-01-09 09:39:06
位于大脑核心区域第三脑室的巨大肿瘤,由INC巴特朗菲教授主刀...
更新时间:2026-01-08 10:16:54
一场突发交通事故导致8岁男性患儿小明陷入中度昏迷状态。后续...
更新时间:2026-01-08 10:06:30
虽然大多数垂体瘤属于良性病变,通过手术切除通常可获得良好...
更新时间:2026-01-07 11:40:30
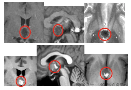
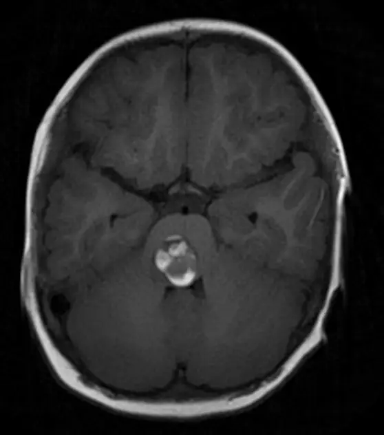
室管膜瘤占儿童颅内肿瘤发病率的6%-12%,特别是在3岁以下儿童群...
更新时间:2026-01-07 11:23:44
该头痛具有独特临床表现:起床活动后30分钟内症状可缓解,但重...
更新时间:2026-01-07 11:12:35
3岁女童阿莉莎突发剧烈头痛伴呕吐症状,起病无明显前兆。病情...
更新时间:2026-01-06 09:59:57
儿童偶发头痛发热虽属常见,但本次症状表现截然不同——病情...
更新时间:2026-01-05 11:34:40
47岁男性患者陈先生在家中出现突发性剧烈头痛,随后迅速陷入昏...
更新时间:2026-01-04 09:53:53
18岁男性患者鹏鹏在校期间持续7天出现头晕症状,经检查确诊为...
更新时间:2026-01-04 09:29:12

Cases of Chinese Patients
Academic Visits
International Treatment