声音嘶哑可能作为肿瘤预警信号存在。33岁男性患者遭遇巨大脊索...
更新时间:2026-01-19 11:46:35
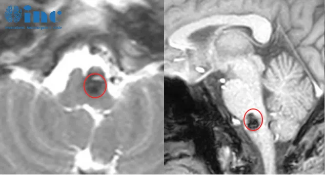
备孕前检查发现脑干海绵状血管瘤,患者如何应对?脑干海绵状...
更新时间:2026-01-18 08:24:38
头痛是常见临床症状,但频繁发作时需警惕脑瘤可能性。脑肿瘤...
更新时间:2026-01-17 08:07:39
作为一名脑瘤患儿的母亲,我对众多病友的家庭经历深感熟悉。...
更新时间:2026-01-17 07:51:44
"原以为是颈椎劳损"。病情在24小时内急剧恶化:从颈部酸痛发展...
更新时间:2026-01-16 10:31:16
核磁共振图像上的一个微小白点被疏忽,导致一名国外男童几近...
更新时间:2026-01-16 10:01:09
52岁女性患者金女士,既往身体健康。2021年因心脏不适症状就诊...
更新时间:2026-01-15 10:31:48
SickKids在加拿大处理复杂的小儿血管疾病(包括脑动静脉畸形AV...
更新时间:2026-01-14 10:50:55
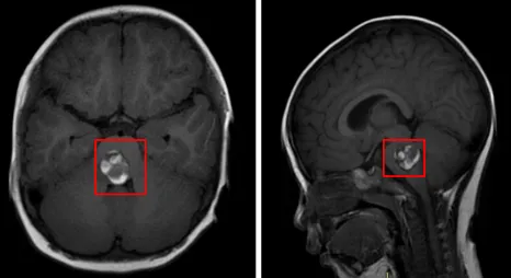
患儿苏苏在1岁2个月时出现步态异常,表现为行走不稳症状。与同...
更新时间:2026-01-14 10:13:59
小学二年级学生主诉头痛症状,在家长准备驾车送医过程中出现...
更新时间:2026-01-14 09:55:47
"巴特朗菲教授您好,我现在恢复得相当不错!"这段来自丘脑海绵...
更新时间:2026-01-13 10:13:04
患儿既往活泼好动,喜爱舞蹈表演,但近一个月出现颈部活动障...
更新时间:2026-01-13 09:57:52
颅咽管瘤作为一种具有侵袭特性的良性脑肿瘤,因其易复发、需...
更新时间:2026-01-13 09:50:56
INC国际儿童脑瘤专家、《Child's Nervous System》现任主编Concezio Di ...
更新时间:2026-01-11 09:51:25
疾病最严重阶段,患者出现明显呼吸障碍症状,因氧气供应不足...
更新时间:2026-01-11 09:45:47

Cases of Chinese Patients
Academic Visits
International Treatment